A doença de Whipple é uma condição infecciosa sistêmica rara causada pela bactéria Tropheryma whipplei, que acomete principalmente homens brancos, entre 40 e 60 anos. Como pode simular diversas patologias e afetar vários órgãos, inclusive sem sintomas gastrointestinais, é essencial que o endoscopista esteja atento a esse diagnóstico diferencial.
Um pouco de história…
Descrita pela primeira vez em 1907, a doença foi inicialmente chamada de “lipodistrofia intestinal” devido ao acúmulo de gordura nos linfáticos intestinais. A etiologia infecciosa foi confirmada em 1991 com a identificação do T. whipplei via técnicas moleculares.
Epidemiologia:
Apesar de ser rara (cerca de 30 casos/ano), o T. whipplei é está presente no ambiente, especialmente em esgoto e solo. É mais comumente detectado em trabalhadores da área rural e de pouco saneamento. A doença clássica é rara mesmo entre os portadores assintomáticos da bactéria.
Manifestações clínicas
A apresentação clássica envolve quatro sintomas principais:
- Artralgias migratórias (geralmente anos antes dos sintomas digestivos)
- Diarreia crônica
- Dor abdominal
- Perda de peso
Podem ocorrer manifestações isoladas no sistema nervoso central ou em válvulas cardíacas. A doença também pode ser desmascarada por uso de imunossupressores, muitas vezes prescritos para doenças reumatológicas presumidas.
Papel do Endoscopista no Diagnóstico
A endoscopia digestiva alta com biópsias do intestino delgado (jejuno/proximal do duodeno) é essencial.
Achados Endoscópicos Mais Comuns:
- Mucosa esbranquiçada ou amarelada
- Aspecto de placas ou granulações finas na mucosa do duodeno ou jejuno.
- Edema da mucosa
- A mucosa pode parecer espessada, pálida ou opaca, com perda das pregas normais.
- Linfangiectasia intestinal
- Dilatação dos vasos linfáticos pode dar aspecto leitoso ou de mucosa brilhante e friável.
- Nódulos milimétricos
- Pequenos nódulos na mucosa, principalmente no duodeno, conferem um aspecto de “mucosa em pedra de calçamento”.
- Aspecto de mucosa atrófica ou ulcerada
- Em casos mais avançados, pode haver áreas de erosão, atrofia ou até úlceras superficiais.

Investigação
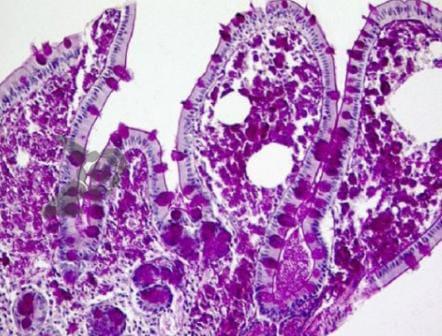
- Histologia com coloração PAS positiva em macrófagos da lâmina própria
- PCR para T. whipplei
- Imuno-histoquímica

Doença de Whipple: macrófagos intensamente PAS-positivos ocupando a lâmina própria da mucosa. As células caliciformes também estão positivamente coradas. A borda em escova dos enterócitos aparece marcada (como uma linha roxa intensa). Fonte: Bures et al. Gastroenterology Research and Practice 2013.
Se a suspeita for alta, mas a endoscopia não for diagnóstica, é indicado investigar outros sítios acometidos (líquor, linfonodos, valvas, líquido sinovial).
Importante: mesmo pacientes com apresentação extraintestinal devem realizar endoscopia, já que a participação intestinal subclínica é comum.
Tratamento
A doença era fatal antes da era dos antibióticos. Hoje, o tratamento é efetivo e dividido em duas fases:
- Fase inicial (parenteral):
- Ceftriaxona 2g IV 1x/dia ou
- Penicilina G 2-4 MU IV 4/4h
- Duração: 2 semanas (4 semanas se acometimento do SNC ou endocardite)
- Fase de manutenção (oral por 1 ano):
- TMP-SMX (160/800 mg) 2x/dia
Importante: O T. whipplei é resistente a fluoroquinolonas e a atividade do TMP-SMX é atribuída apenas ao sulfametoxazol.
Considerações finais para o endoscopista
- Suspeite da doença em pacientes com síndrome diarreica crônica, perda de peso e artralgias, especialmente se do sexo masculino e com exposição a solo ou esgoto.
- A biópsia de intestino delgado é a chave diagnóstica.
- O endoscopista pode ser o primeiro a levantar a hipótese diagnóstica.
Mesmo rara, a doença de Whipple é potencialmente fatal se não tratada, mas curável com antibioticoterapia adequada. Estar atento à possibilidade diagnóstica é essencial.
Referências
- Günther U, Moos V, Offenmüller G, et al. Gastrointestinal diagnosis of classical Whipple disease: clinical, endoscopic, and histopathologic features in 191 patients. Medicine (Baltimore) 2015; 94:e714.
- Lagier JC, Fenollar F, Lepidi H, et al. Treatment of classic Whipple’s disease: from in vitro results to clinical outcome. J Antimicrob Chemother 2014; 69:219.
- Apstein MD, Schneider T. Whipple’s disease. Uptodate. 2024.
Como citar este artigo
Orso IRB. Doença de Whipple: O que o Endoscopista Precisa Saber Endoscopia Terapeutica 2025 Vol I. Disponível em: https://endoscopiaterapeutica.net/pt/assuntosgerais/doenca-de-whipple-o-que-o-endoscopista-precisa-saber/
Doutor em Ciências em Gastroenterologia pela USP
Especialista em Endoscopia Diagnóstica e Terapêutica da Gastroclínica Cascavel e do Hospital São Lucas FAG
Coordenador da Residência Médica em Cirurgia Geral e Professor de Gastroenterologia da Escola de Medicina da Faculdade Assis Gurgacz

