Definição, relevância clínica e implicações para a ecoendoscopia
Introdução
Em julho de 2024 publicamos neste portal um artigo sobre microlitíase biliar (clique aqui para ler o artigo “Microlitíase biliar e dispepsia”), no qual discutimos as diferentes — e muitas vezes conflitantes — definições do termo “microlitíase biliar”, tanto na literatura quanto na prática clínica diária. Naquele artigo, analisamos de forma detalhada o robusto Consenso Internacional publicado na revista Gut em 2023 por Żorniak et al.¹, que definiu microlitíase (ou microcálculo) biliar como imagem hiperecogênica com sombra acústica posterior, medindo até 5 mm.
Essa definição entrou em conflito direto com aquilo que tradicionalmente vínhamos chamando de “microlitíase” em nosso meio — conceito amplamente difundido no Brasil e também descrito no Manual de Ecoendoscopia da Sociedade Brasileira de Endoscopia Digestiva (SOBED) de 2023². Nessa definição, que chamaremos de “convenção brasileira”, o termo microlitíase era utilizado para descrever imagens hiperecogênicas sem sombra acústica posterior, frequentemente observadas — ou acentuadas — após palpação abdominal.
Diante desse cenário, o ecoendoscopista passou a ter, na prática, três possíveis condutas:
- Manter o laudo como “microlitíase” para imagens hiperecogênicas sem sombra acústica posterior, mantendo a convenção brasileira, porém em desacordo com um consenso internacional publicado;
- Classificar tais achados como “barro biliar”, tentando forçar o enquadramento dessa entidade dentro das definições do consenso;
- Ignorar ou não buscar ativamente essa entidade, por considerá-la de relevância clínica incerta ou mesmo irrelevante — conduta adotada em alguns centros ao redor do mundo.
Com o objetivo de resolver esse impasse conceitual entre o consenso internacional e a prática brasileira, Proença et al.³ publicaram, em 2025, uma letter em resposta ao consenso de Żorniak et al.¹, propondo um novo termo para definir essa entidade ecográfica controversa: “biliary dust”, ou poeira biliar.
Poeira biliar: definição e relevância clínica
Definição
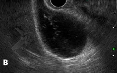
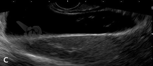
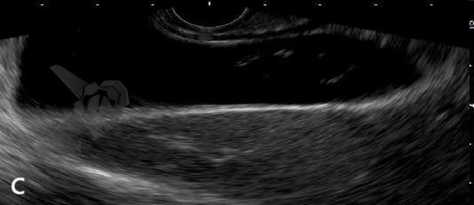
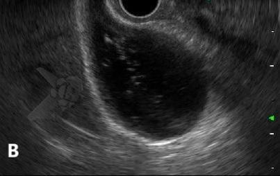
A poeira biliar foi definida como imagem flutuante hiperecogênica, sem sombra acústica posterior, observada ou acentuada após palpação abdominal³. Trata-se, portanto, da mesma entidade ecográfica que, no Brasil, vinha sendo tradicionalmente denominada “microlitíase”, mas que não se enquadra na definição do consenso internacional de microlitíase e acabou sendo praticamente ignorada pelo consenso — ou, em alguns casos, forçadamente incluída sob o amplo guarda-chuva do termo “barro biliar”.




Relevância clínica
Como discutido no artigo prévio (“Microlitíase biliar e dispepsia”), a relevância clínica dessa entidade permanece controversa na literatura, em grande parte pela ausência, até então, de um descritor específico e amplamente aceito. Independentemente da nomenclatura utilizada nos diversos estudos — microlitíase, microcálculo, minilitíase, cristais biliares ou barro biliar — o consenso de Żorniak et al. demonstrou que todos os distúrbios litogênicos biliares (cálculos, microcálculos, barro e, retrospectivamente, poeira biliar) estão associados à pancreatite aguda, sem diferença na gravidade da pancreatite independente da entidade envolvida¹.
Dessa forma, a poeira biliar deve ser ativamente pesquisada em pacientes com pancreatite aguda e considerada uma possível etiologia quando identificada.
Montenegro et al.⁴ avaliaram retrospectivamente pacientes submetidos à colecistectomia com diagnóstico ecográfico de “minilitíase e/ou barro biliar” — entidade que, à luz dos conceitos atuais, corresponde à poeira biliar. Houve melhora clínica em 86,2% (25/29) dos pacientes com cólica biliar típica e em 66,7% (8/12) daqueles com dor em quadrante superior direito. Nenhum dos pacientes operados por dor abdominal difusa apresentou melhora clínica (0/4). Sintomas como epigastralgia e náuseas foram pouco prevalentes, não permitindo conclusões consistentes (Tabela 1).

Prática clínica
Apesar do esforço acadêmico para padronizar definições e terminologias, a incorporação de novos conceitos na prática clínica nem sempre é simples. Isso pode ocorrer por apego do ecoendoscopista aos conceitos previamente aprendidos, por estranhamento do médico assistente ou mesmo por resistência do cirurgião frente a novas nomenclaturas.
Nesse contexto, o aspecto mais importante continua sendo a comunicação clara, capaz de transmitir da forma mais precisa possível os achados ecográficos, permitindo ao médico assistente correlacioná-los adequadamente com o quadro clínico e indicar o melhor tratamento para o paciente.
Para os ecoendoscopistas que optarem por adotar o termo poeira biliar, recomenda-se que o laudo inclua uma nota explicativa, facilitando o entendimento do achado pelo médico assistente. Um exemplo prático seria:
Conclusão (exemplo de laudo)
Vesícula biliar com achados compatíveis com poeira biliar.*
*Poeira biliar foi descrita por Proença et al. (Gut 2025) para diferenciar tais achados do que era chamado de “microlitíase” – termo que foi definido em consenso (Zorniak et al. 2023) para designar imagens com sombra acústica posterior medindo até 5mm.
Referências: 1. Proenca et al. Biliary sludge and microlithiasis: are we covering the full spectrum of lithogenic biliary disorders?. Gut 2025. DOI: 10.1136/gutjnl-2025-336609 2. Zorniak et al. Consensus definition of sludge and microlithiasis as a possible cause of pancreatitis. Gut 2023. DOI: 10.1136/gutjnl-2022-327955
Conclusão
A poeira biliar (“biliary dust”) foi definida como imagem flutuante hiperecogênica, sem sombra acústica posterior, observada ou acentuada após palpação abdominal — entidade ecográfica previamente denominada “microlitíase” ou “microcálculo” em nosso meio. A introdução desse termo visa conciliar os achados ecográficos frequentemente observados na prática diária com as definições estabelecidas pelo Consenso Internacional de 2023.
A poeira biliar está associada à pancreatite aguda e parece ter relação com quadros de cólica biliar típica. Sua associação com sintomas atípicos — como dor em quadrante superior direito, dispepsia, náuseas e vômitos — permanece pouco estudada e deve ser interpretada com cautela, sempre após a exclusão de etiologias mais prováveis.
Para a aplicação desse novo termo na prática clínica, recomenda-se a elaboração de laudos descritivos, acompanhados de explicação em nota, de modo a facilitar a correta interpretação dos achados ecográficos pelo médico assistente.
Referências
- Żorniak, M., Sirtl, S., Beyer, G., Mahajan, U. M., Bretthauer, K., Schirra, J., Schulz, C., Kohlmann, T., Lerch, M. M., Mayerle, J., & LMU Microlithiasis Expert Survey Team (2023). Consensus definition of sludge and microlithiasis as a possible cause of pancreatitis. Gut, 72(10), 1919–1926. https://doi.org/10.1136/gutjnl-2022-327955
- De Araújo W.C., Nahoum R.G., Como eu faço: pesquisa de pancreatite idiopática. In: Salomão B.C., Moura E.G.H.M. Ecoendoscopia como eu faço? / núcleo de ecoendoscopia SOBED – São Paulo : Editora dos Editores, 2023. Cap. 5 p.87-96
- Proenca et al. Biliary sludge and microlithiasis: are we covering the full spectrum of lithogenic biliary disorders?. Gut 2025. DOI: 10.1136/gutjnl-2025-336609
- Montenegro, A., Andújar, X., Fernández-Bañares, F., Esteve, M., & Loras, C. (2022). Usefulness of endoscopic ultrasound in patients with minilithiasis and/or biliary sludge as a cause of symptoms of probable biliary origin after cholecystectomy. Gastroenterologia y hepatologia, 45(2), 91–98. https://doi.org/10.1016/j.gastrohep.2021.03.010
Como citar este artigo
Proença IM. Poeira biliar: um novo termo para uma velha entidade e uma antiga controvérsia. Endoscopia Terapeutica, 2026 Vol I. Disponível em: https://endoscopiaterapeutica.net/pt/assuntosgerais/poeira-biliar-um-novo-termo-para-uma-velha-entidade-e-uma-antiga-controversia/
Médico e Cirurgião Geral pela Escola Paulista de Medicina/UNIFESP.
Endoscopia Digestiva pelo HC-FMUSP.
Especialização em Endoscopia Biliopancreática no HC-FMUSP.
Médico Assistente do Serviço de Endoscopia do HC-FMUSP.
Mestre em Ciências em Gastroenterologia pela FMUSP.
