1. Introdução
A hemorragia digestiva alta (HDA) não varicosa é uma condição frequente na prática clínica, sendo um dos principais desafios para o endoscopista [1].
As terapias endoscópicas convencionais – como a mecânica (clipe metálico ou ligadura elástica), injetora e térmica – alcançam hemostasia inicial em até 90% dos casos [2]. No entanto, persistem situações em que a hemostasia não é atingida ou em que ocorre ressangramento após o controle inicial.
Casos mais complexos incluem:
- Úlceras gigantes com fibrose intensa;
- sangramento difuso de mucosa;
- sangramento por isquemia;
- lesões malignas com sangramento.
Dispositivos como o clipe over-the-scope (OTSC) e o pó hemostático podem ser úteis, mas apresentam limitações: baixa disponibilidade, taxa elevada de ressangramento (até 26,1%) com o pó hemostático [3] e dificuldades técnicas com OVESCO em lesões difusas ou de localização difícil.
A Terapia Endoscópica a Vácuo (TEV), que já está bem consolidada no manejo de deiscências e fístulas do trato gastrointestinal [4–6], tem surgido como opção promissora para o controle da HDA não varicosa. Seus mecanismos de ação incluem:
- macro e microdeformação tecidual;
- estímulo à angiogênese;
- melhora da perfusão local;
- remoção de exsudatos e secreções;
- proliferação celular e formação de tecido de granulação.
Em 2022, de Moura et al. [7] publicaram uma série de três casos com excelentes resultados no controle de sangramento duodenal difuso em pacientes graves com COVID-19. Mais recentemente, o mesmo grupo ampliou essa experiência, publicando uma série de 19 casos de HDA não varicosa tratados com TEV [8].

Figura 1 Adaptado de Moura et al (7): sangramento duodenal difuso em pacientes com COVID-19 pré e pós tratamento endoscópico a vácuo.
2. Série de Casos de Mega et al. (resumo)
Mega et al. (8) publicaram uma série com 19 pacientes tratados com TEV para HDA não varicosa entre 2021 e 2024, tanto como terapia primária quanto como terapia de resgate.
- Desfecho primário: sucesso clínico (hemostasia inicial + ausência de ressangramento em 30 dias).
- Etiologias:
- sangramento duodenal difuso relacionado à COVID-19 (42,1% – 8 casos);
- úlcera péptica gástrica (2 casos);
- úlcera actínica (2 casos);
- úlcera gástrica pós-ablação com plasma de argônio para GAVE (1 caso);
- esofagite erosiva intensa (1 caso);
- úlcera gástrica pós-pancreatite grave (1 caso);
- úlcera relacionada ao uso de AINEs (1 caso);
- úlcera neoplásica (1 caso);
- úlcera duodenal isquêmica pós-hepatectomia (1 caso);
- úlcera marginal em anastomose gastrojejunal pós-gastroplastia (1 caso).
Em 11 pacientes (57,9%) a TEV foi utilizada como terapia de resgate e em 8 (42,1%) como primária. O tempo médio de tratamento foi de 11 dias (4 a 18), com média de duas sessões de revisão e troca do sistema.
Resultados:
- Sucesso clínico em 89,5% dos casos (17/19).
- Apenas 2 ressangramentos em 30 dias.
- Nenhum evento adverso relacionado à TVE.
- Mortalidade de 36,8% (7/19), sem relação direta com o sangramento.
3. Caso Clínico
Em publicação recente (9), relatamos o caso de um homem de 42 anos, vítima de queimadura grave com lesão de vias aéreas, que evoluiu com necessidade e de intubação orotraqueal, instabilidade clínica, insuficiência renal e uso de drogas vasoativas.
No 8º dia de internação, apresentou melena e instabilidade hemodinâmica. A endoscopia revelou mucosa gástrica friável, múltiplas ulcerações, coágulos e áreas de necrose, sobretudo no fundo gástrico. Não foi possível realizar terapia endoscópica.
Durante os dez dias seguintes:
- manteve melena e necessidade diária de transfusões (1–2 CH/dia);
- duas novas EDA mostraram achados semelhantes, sem possibilidade de terapia endoscópica (pó hemostático indisponível no serviço) (figura 1);
- tomografia evidenciou pneumatose gástrica sem perfuração (figura 1);
- arteriografia mostrou estenose do tronco celíaco, compatível com Síndrome do Ligamento Arqueado Mediano (figura 1), justificando isquemia gástrica.

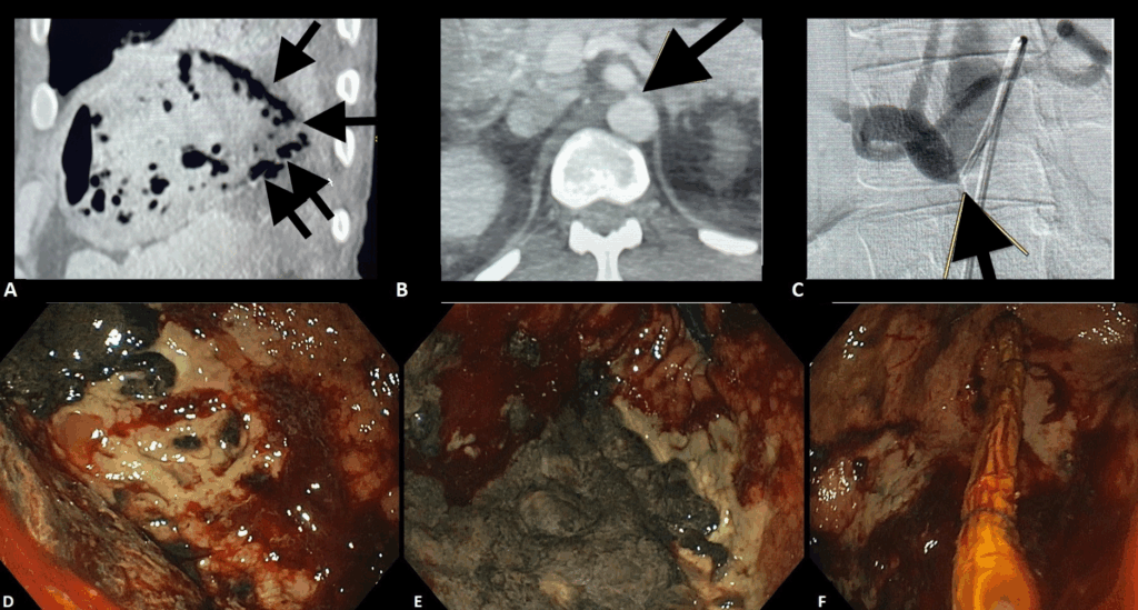
Figura 2 Adaptado de Dall’Agnol et al (9):
A: Tomografia abdominal com pneumatose da parede gástrica (setas).
B: Angio-TC demonstrando estenose do Tronco celíaco (seta).
C: Arteriorgrafia confirmando estenose do Tronco celíaco (seta).
D: Úlcerações extensas e tecido necrótico com sangramento difuso no corpo gástrico.
E: Tecido necrótico extenso no fundo gástrico.
F: Passagem da sonda de Terapia Endoscópica a Vácuo (1a sessão).
Diante da impossibilidade das terapias endoscópicas convencionais e do alto risco cirúrgico, foi indicada TEV intragástrica para hemostasia, melhora da perfusão e reparação da mucosa (figura 1).
Evolução:
- Nas primeiras 48h: necessidade de apenas 1 CH; drenagem sero-sanguinolenta.
- Após 48h: drenagem passou a ser serosa, sem novas transfusões.
- A TEV foi trocada semanalmente por 21 dias (figura 2 e 3).
- Observou-se resolução completa das áreas de necrose e ulceração (figura 2 e 3).
- O paciente não apresentou novo sangramento nem necessidade de transfusões, embora tenha evoluído a óbito posteriormente por complicações pulmonares.

Figura 3 Adaptado de Dall’Agnol et al (9):
A-C: 7 dias de TEV
D-F: 14 dias de TEV

Figura 4 Adaptado de Dall’Agnol et al (9):
A-C: 21 dias de TEV
D-F: 1 semana após término da TEV
4. Conclusão
A Terapia Endoscópica a Vácuo deve ser considerada como opção terapêutica em casos de HDA não varicosa, sobretudo em situações desafiadoras:
- sangramento difuso,
- isquemia,
- falha das terapias endoscópicas convencionais.
Apesar da ausência de estudos prospectivos robustos, o racional fisiopatológico e os resultados de séries de casos demonstram taxas de sucesso próximas a 90%, com controle hemostático persistente e boa recuperação tecidual.
A TEV, portanto, surge como uma opção promissora e segura, especialmente como terapia de resgate em contextos de difícil manejo.
Referências
- Oakland, Kathryn. “Changing epidemiology and etiology of upper and lower gastrointestinal bleeding.” Best practice & research. Clinical gastroenterology vol. 42-43 (2019): 101610. doi:10.1016/j.bpg.2019.04.003
- Van Dam, J, and W R Brugge. “Endoscopy of the upper gastrointestinal tract.” The New England journal of medicine vol. 341,23 (1999): 1738-48. doi:10.1056/NEJM199912023412306
- de Rezende DT, Brunaldi VO, Bernardo WM et al. Use of hemostatic powder in treatment of upper gastrointestinal bleeding: a systematic review and meta-analysis. Endosc Int Open. 2019 Dec;7(12):E1704- E1713. doi: 10.1055/a-0977-2897.
- do Monte Junior, Epifanio Silvino et al. “Endoscopic vacuum therapy versus endoscopic stenting for upper gastrointestinal transmural defects: Systematic review and meta-analysis.” Digestive endoscopy : official journal of the Japan Gastroenterological Endoscopy Society vol. 33,6 (2021): 892-902. doi:10.1111/den.13813
- Luttikhold, Joanna et al. “Endoscopic vacuum therapy for esophageal perforation: a multicenter retrospective cohort study.” Endoscopy vol. 55,9 (2023): 859-864. doi:10.1055/a-2042-6707
- Loske, Gunnar, and Christian Müller. “Endoscopic vacuum-assisted closure of upper intestinal anastomotic leaks.” Gastrointestinal endoscopy vol. 69,3 Pt 1 (2009): 601-2; author reply 602. doi:10.1016/j.gie.2008.06.058
- de Moura, Diogo T H et al. “Endoscopic Vacuum Therapy for Duodenal Hemorrhage in Critically Ill Patients With COVID-19.” The American journal of gastroenterology vol. 117,4 (2022): 688. doi:10.14309/ajg.0000000000001643
- Mega, Paulo Ferreira et al. “Endoscopic vacuum therapy for the management of nonvariceal upper gastrointestinal bleeding: a valuable resource for the endoscopist’s toolbox.” Endoscopy vol. 57,8 (2025): 883-889. doi:10.1055/a-2544-6448
- Dall’Agnol, Marcelo Klotz et al. “Successful Endoscopic Vacuum Therapy in Diffuse Gastric Hemorrhage Secondary to Acute Ischemia: A Case Report”. iGIE, 2025, ISSN 2949-7086, https://doi.org/10.1016/j.igie.2025.10.001.
Como citar este artigo
Proença IM. Terapia Endoscópica a Vácuo (TEV) no Tratamento da Hemorragia Digestiva Alta Não Varicosa. Endoscopia Terapeutica, 2025 Vol II. Disponível em: https://endoscopiaterapeutica.net/pt/assuntosgerais/terapia-endoscopica-a-vacuo-tev-no-tratamento-da-hemorragia-digestiva-alta-nao-varicosa/
Médico e Cirurgião Geral pela Escola Paulista de Medicina/UNIFESP.
Endoscopia Digestiva pelo HC-FMUSP.
Especialização em Endoscopia Biliopancreática no HC-FMUSP.
Médico Assistente do Serviço de Endoscopia do HC-FMUSP.
Mestre em Ciências em Gastroenterologia pela FMUSP.

