A Olympus lançou o novo sistema Evis X1 em 2020 na Ásia e Europa, chegando ao Brasil em 2024. Trata-se de uma tecnologia com melhoras em relação a processadora 190, a mais moderna que temos disponível até o momento no nosso país.
A processadora com o sistema de vídeo CV-1500 oferece novas tecnologias de imagens, estando combinado num mesmo box com a fonte que contém cinco luzes LED. Essa processadora é compatível com endoscópios das gerações anteriores da série 190 e com as futuras gerações de endoscópios.
Os novos recursos do sistema de endoscopia EVIS X1
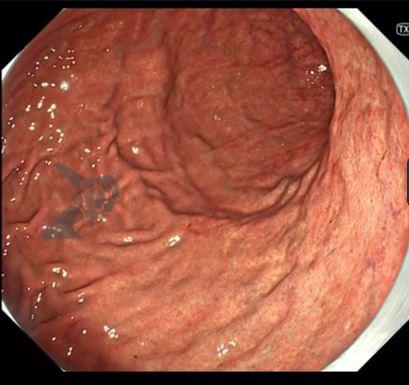
1. TXI (TeXture and color enhancement Imaging)
O TXI é uma tecnologia de imagem realçada. Basicamente, o que o sistema faz é processar a imagem com luz branca após a captura, melhorando sua nitidez. Primeiramente, a imagem capturada é dividida em dois componentes (textura e cor); depois, cada componente é realçado e então a processadora as une de novo e entrega uma imagem com mais qualidade. O resultado é um aumento da claridade nas partes escuras, assim como uma maior nitidez das cores.
Existem dois modos:
TX 1: realça tanto a cor quanto a estrutura.
TX 2: realça basicamente só a textura.

Fonte: Osaka International Cancer Institute.

Fonte: Osaka International Cancer Institute.

Fonte: Osaka International Cancer Institute.
2. RDI (Red Dichromatic Imaging)
Essa tecnologia aplica os mesmos princípios do NBI, ou seja, são colocados filtros de luz. A diferença é que o RDI usa filtros de comprimentos de onda mais longos objetivando melhorar a visualização dos vasos mais profundos. As áreas com maior concentração de hemácias ficam com a cor laranja ou amarelo escuro, enquanto as áreas com menor densidade, ficam amarelas claras. Isso ajuda na hora de identificar o foco de sangramento ativo durante as ressecções endoscópicas (ESD ou mucosectomia), diminuindo o tempo para atingir uma coagulação adequada.

Fonte: Osaka International Cancer Institute.

Fonte: Osaka International Cancer Institute.
3. EDOF (Extended Depth of Field)
A incorporação do EDOF, ou campo de visão estendida, proporcionou uma melhora significativa na qualidade de imagem. Com o sistema anterior, o Near Focus produzia uma imagem ampliada, porém para atingirmos uma boa resolução, tínhamos que nos aproximar muito do foco de interesse e a imagem ao redor ficava desfocada. Para melhorar nesse aspecto, dois refletores (espelhos) foram colocados na ponta do aparelho, permitindo ver uma área de interesse de perto, porém mantendo a nitidez da área ao redor.

Fonte: Osaka International Cancer Institute.

Fonte: Osaka International Cancer Institute.
4. BAI-MAC (Brightness Adjustment Imaging with Maintenance of Contrast)
Por fim, essa tecnologia é uma nova técnica de processamento de imagens para corrigir os níveis de brilho em áreas escuras da imagem endoscópica, mantendo o brilho das áreas mais claras e aumentando a visualização à distância.
Notas: A autora declara que não há conflito de interesses nesse post.
Como citar este artigo
Nobre R. O sistema de última geração da olympus chegou no brasil! Aprenda quais são as recentes tecnologias do Evis x1. Endoscopia Terapeutica, 2024 vol II. https://endoscopiaterapeutica.net/pt/assuntosgerais/Sistema-de-ultima-Geracao-da-Olympus-no-Brasil-Aprenda-Quais-sao-as-Recentes-Tecnologias-do-EVIS-X1/
Cirurgia Geral e Cirurgia do Aparelho Digestivo HCFMRP-USP
Especialização em Endoscopia Gastrointestinal HCFMUSP
Título de Especialista SOBED
Doutora em Gastroenterologia FMUSP
Médica Endoscopista do Instituto do Câncer de São Paulo (ICESP), Hospital Nipo-Brasileiro e Fleury.
