Introdução
A neoplasia da vesícula biliar é geralmente diagnosticada tardiamente devido à ausência de sintomas específicos. A ecoendoscopia tem papel central na caracterização morfológica, avaliação da invasão parietal e hepática, pesquisa de linfonodos regionais e possibilidade de diagnóstico anatomopatológico por punção ecoguiada.
A proximidade anatômica, traz vantagem à ecoendoscopia em relação a ultrassonografia transabdominal e a tomografia na avaliação local detalhada.
Formas de Apresentação
As neoplasias vesiculares podem se manifestar sob duas principais formas morfológicas:
Forma Polipoide
- Lesão focal intraluminal, geralmente sólida, séssil ou com base ampla.
- Pode surgir sobre pólipo adenomatoso ou displásico (adenocarcinoma in situ).
- No EUS, os padrões suspeitos de malignidade incluem:
- Tamanho >10 mm.
- Margens irregulares e heterogeneidade interna.
- Aumento da vascularização ao Doppler.
- Perda do padrão de camadas da parede adjacente.
Obs: Pólipos <6 mm, múltiplos e hiperecogênicos costumam representar pólipos de comportamento benigno
Forma Infiltrativa (Espessamento da Parede)
- O tumor se apresenta como espessamento focal assimétrico, irregular e heterogêneo da parede da vesícula.
- Pode ser diagnóstico diferencial com patologias benignas como colecistite xantogranulomatosa ou adenomiomatose, mas o EUS ajuda pela visualização das camadas da parede:
- Preservação das camadas → processo inflamatório benigno.
- Desorganização ou perda das camadas → invasão neoplásica.
- A invasão hepática é sugerida por apagamento da interface hiperecogênica entre a vesícula e o fígado.

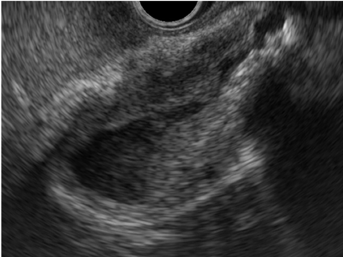
Figura 1 – Neoplasia de vesícula em visão ecoendoscópica. Imagem adaptada de Takahashi et. al. Diagnostics (Basel), 2024.
Estadiamento por EUS
| Características | Correlação Estadio | Acurácia | |
| Tipo A | Pediculado; camada adjacente preservada | Tis | 100% |
| Tipo B | Séssil / base larga; hiperecoica externa preservada | T1 | 76% |
| Tipo C | Séssil; hiperecoica estreitada | T2 | 85% |
| Tipo D | Séssil; hiperecoica desorganizada | T3-4 | 93% |
Sadamoto e colaboradores propuseram uma classificação que correlaciona os achados na ecoendoscopia com o estadio oncológico, apresentando boa acurácia nas lesões precoces e avançadas, representadas pelos tipos A e D.
Punção Ecoguiada
- Permite diagnóstico diferencial entre neoplasia de vesícula e patologias benignas
- Direcionamento de terapia guiada por marcadores genômicos
- Avaliação de linfonodos acometidos / metastases hepáticas
- Puncionar primeiramente estas lesões e na sequência o tumor primário
- Contraindicações relativas: tumores claramente ressecáveis, devido ao risco (ainda que baixo) de disseminação peritoneal.
- Evitar transfixar a luz da vesícula pelo risco de colecistite
Contraste Harmônico
- Carcinomas: realce heterogêneo e irregular, com washout precoce.
- Pólipos benignos: realce homogêneo e sustentado.
- Aumenta a acurácia na distinção entre adenoma e carcinoma precoce, e na definição dos limites tumorais para planejamento cirúrgico.
Inteligência artificial
O uso de inteligência artificial e deep learning aplicados às imagens de EUS tem mostrado desempenho promissor para:
- Diferenciar pólipos benignos e malignos
- Detectar invasão da parede,
- Estimar o estadiamento T com acurácia superior a 90% em estudos recentes
Conclusão
A ecoendoscopia representa ferramenta precisa para avaliação detalhada das neoplasias de vesícula biliar, permitindo a caracterização morfológica, vascular, estadiamento loco-regional e amostragem tecidual guiada, desempenhando papel essencial na definição da conduta.
Referências
- Szpakowski JL, Tucker LY. Outcomes of Gallbladder Polyps and Their Association With Gallbladder Cancer in a 20-Year Cohort. JAMA Netw Open. 2020 May 1;3(5):e205143
- Sadamoto et. al. Preoperative diagnosis and staging of gallbladder carcinoma by EUS. Gastrointest Endosc. 2003 Oct;58(4):536-41.
- Takahashi et. al. Recent Advances in Endoscopic Ultrasound for Gallbladder Disease Diagnosis.
Diagnostics (Basel). 2024 Feb 8;14(4):374 - Obaid et al. Detection of Gallbladder Disease Types Using Deep Learning: An Informative Medical Method. Diagnostics (Basel). 2023 May 15;13(10):1744.
Como citar este artigo
Logiudice FP. Ecoendoscopia na avaliação das neoplasias da vesícula biliar Endoscopia Terapeutica 2025, Vol II. Disponível em: https://endoscopiaterapeutica.net/pt/assuntosgerais/ecoendoscopia-na-avaliacao-das-neoplasias-da-vesicula-biliar/
Residência médica em Cirurgia Geral e Endoscopia Digestiva pelo Hospital das Clínicas da FMUSP.
Especialização em Endoscopia Digestiva Avançada pelo Hospital das Clínicas da FMUSP.
Médica assistente do serviço de Endoscopia Hospital das Clínicas da FMUSP, Hospital Paulistano, Centro Paulista de Endoscopia e São Luiz Rede D’Or Jabaquara.
