1. Introducción
La hemorragia digestiva alta (HDA) no varicosa es una afección frecuente en la práctica clínica y representa uno de los dos principales retos para los endoscopistas [1].
Las terapias endoscópicas convencionales, como la mecánica (ligadura con clip metálico o banda elástica), la inyección y la térmica, logran la hemostasia inicial en el 90 % de los casos [2]. Sin embargo, aún existen situaciones en las que la hemostasia no es completa o se produce un resangrado tras el control inicial.
Los casos más complejos incluyen:
- Úlceras gigantes con fibrosis intensa;
- Hemorragia mucosa difusa;
- Hemorragia por isquemia;
- Hemorragia por lesiones malignas.
Dispositivos como el clip sobre el endoscopio (over-the-scope – OTSC) y el clip hemostático pueden ser útiles, pero presentan limitaciones: baja disponibilidad, alta tasa de resangrado (hasta un 26,1 %), como el clip hemostático [3], y dificultades técnicas con OVESCO en zonas difusas o de difícil localización.
La terapia endoscópica de vacío (TEV), ya consolidada en el tratamiento de defectos y fístulas del tracto gastrointestinal [4-6], se ha convertido en una opción prometedora para el control de la HDA no varicosa. Sus mecanismos de acción incluyen:
- Micro y macro deformación del tejido;
- Estimulación de la angiogénesis;
- Mejora de la perfusión local;
- Eliminación de exudados y secreciones;
- Proliferación celular y formación de tejido de granulación.
En 2022, Moura et al. [7] publicaron una serie de tres casos con excelentes resultados para el control de hemorragia duodenal difusa en pacientes críticos con COVID-19. Más recientemente, el mismo gran grupo amplio esa experiencia publicó una serie de 19 casos de HDA no varicosa tratados con TVP [8].

Figura 1 Adaptado de Moura et al (7): Sangrado duodenal difuso en pacientes con COVID-19 antes y después del tratamiento endoscópico al vacío
2. Serie de casos – Mega et al. (resumen)
Mega et al. (8) publicarán una serie de 19 pacientes tratados con TEV por HDA no varicosa entre 2021 y 2024, tanto como terapia primaria como de terapia de rescate.
- Resultado primario: evento clínico (hemostasia inicial + ausencia de resangrado en 30 días).
- Etiologías:
- hemorragia duodenal difusa relacionada con COVID-19 (42,1% – 8 casos);
- úlcera péptica gástrica (2 casos);
- úlcera actínica (2 casos);
- úlcera gástrica tras ablación con argón plasma para EAV (1 caso);
- esofagitis erosiva grave (1 caso);
- úlcera gástrica grave pospancreatitis (1 caso);
- úlcera relacionada con el uso de AINEs (1 caso);
- úlcera neoplásica (1 caso);
- úlcera duodenal isquémica tras hepatectomía (1 caso);
- úlcera marginal en la anastomosis gastroyeyunal tras gastroplastia (1 caso).
En 11 pacientes (57,9%), la TEV se utilizó como tratamiento de rescate y en 8 (42,1%) como tratamiento primario. La duración media del tratamiento fue de 11 días (4 a 18), con dos sesiones de revisión y reemplazo del sistema.
Resultados:
- Éxito clínico en el 89,5% de los casos en dos casos (17/19).
- Solo 2 resangrados en 30 días.
- Sin eventos adversos relacionados con la TEV.
- Tasa de mortalidad del 36,8% (7/19), no relacionada directamente con el sangrado.
3. Caso Clínico
En una publicación reciente [9], informamos del caso de un hombre de 42 años, víctima de quemaduras graves con lesión de la vía aérea, que evoluciono con inestabilidad clínica e insuficiencia renal, requiriendo intubación orotraqueal y uso de fármacos vasoactivos.
Al octavo día de hospitalización, desarrolló melena e inestabilidad hemodinámica. La endoscopia reveló mucosa gástrica friable, múltiples ulceraciones, coágulos y áreas de necrosis, especialmente en el fondo gástrico. No fue posible la terapia endoscópica.
Durante los diez días siguientes:
- Continuó presentando melena y requirió transfusiones diarias (1-2 transfusiones/día);
- Dos nuevas endoscopias mostraron hallazgos similares, sin posibilidad de terapia endoscópica (polvo hemostático no disponible en el centro) (figura 1);
- La tomografía computarizada reveló neumatosis gástrica sin perforación (figura 1);
- La arteriografía mostró estenosis del tronco celíaco, compatible con síndrome del ligamento arcuato medio (figura 1), justificando isquemia gástrica.

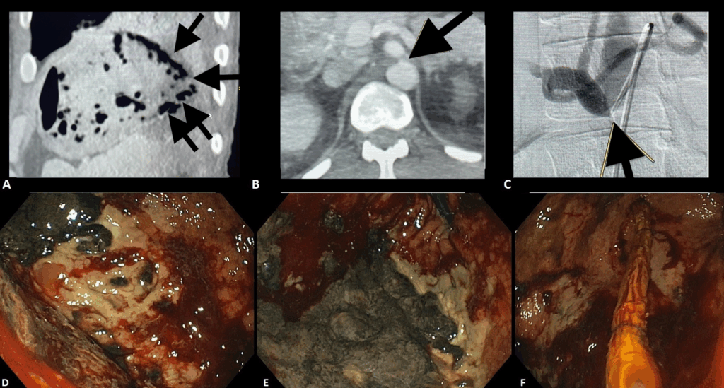
Figura 2. Adaptado de Dall’Agnol et al. (9):
A: Tomografía abdominal que muestra neumatosis de la pared gástrica (flechas).
B: Angiografía por TC que muestra estenosis del tronco celíaco (flecha).
C: Arteriografía que confirma la estenosis del tronco celíaco (flecha).
D: Ulceraciones extensas y tejido necrótico con sangrado difuso en el cuerpo gástrico.
E: Tejido necrótico extenso en el fundus gástrico.
F: Paso del tubo de terapia endoscópica de vacío (1.ª sesión).
Dada la imposibilidad de las terapias endoscópicas convencionales y el alto riesgo quirúrgico, se indicó una TEV intragástrica para hemostasia, mejora de la perfusión y reparación de la mucosa (Figura 1).
Evolución:
- En las primeras 48 horas: solo se requirió 1 concentrado de sangre; drenaje serosanguinolento.
- Después de 48 horas: el drenaje se volvió seroso, sin necesidad de transfusiones adicionales.
- El TEV se cambió semanalmente durante 21 días (figuras 2 y 3).
- Se observó resolución completa de las áreas de necrosis y ulceración (figuras 2 y 3).
- El paciente no presentó más sangrado ni requirió transfusiones, aunque posteriormente falleció por complicaciones pulmonares.

Figura 4. Adaptado de Dall’Agnol et al. (9):
A-C: 21 días de TEV
D-F: 1 semana después de la finalización de la TEV
4. Conclusión
La terapia endoscópica de vacío debe considerarse como una opción terapéutica en casos de HDA no varicosa, especialmente en situaciones difíciles:
- sangrado difuso,
- isquemia,
- fracaso de las terapias endoscópicas convencionales.
A pesar de la falta de estudios prospectivos sólidos, la justificación fisiopatológica y los resultados de series de casos demuestran tasas de éxito cercanas al 90%, con un control hemostático persistente y una buena recuperación tisular.
Por lo tanto, la terapia endoscópica de vacío (TEV) se perfila como una opción prometedora y segura, especialmente como terapia de rescate en entornos de difícil manejo.
Referencias
- Oakland, Kathryn. “Changing epidemiology and etiology of upper and lower gastrointestinal bleeding.” Best practice & research. Clinical gastroenterology vol. 42-43 (2019): 101610. doi:10.1016/j.bpg.2019.04.003
- Van Dam, J, and W R Brugge. “Endoscopy of the upper gastrointestinal tract.” The New England journal of medicine vol. 341,23 (1999): 1738-48. doi:10.1056/NEJM199912023412306
- de Rezende DT, Brunaldi VO, Bernardo WM et al. Use of hemostatic powder in treatment of upper gastrointestinal bleeding: a systematic review and meta-analysis. Endosc Int Open. 2019 Dec;7(12):E1704- E1713. doi: 10.1055/a-0977-2897.
- do Monte Junior, Epifanio Silvino et al. “Endoscopic vacuum therapy versus endoscopic stenting for upper gastrointestinal transmural defects: Systematic review and meta-analysis.” Digestive endoscopy : official journal of the Japan Gastroenterological Endoscopy Society vol. 33,6 (2021): 892-902. doi:10.1111/den.13813
- Luttikhold, Joanna et al. “Endoscopic vacuum therapy for esophageal perforation: a multicenter retrospective cohort study.” Endoscopy vol. 55,9 (2023): 859-864. doi:10.1055/a-2042-6707
- Loske, Gunnar, and Christian Müller. “Endoscopic vacuum-assisted closure of upper intestinal anastomotic leaks.” Gastrointestinal endoscopy vol. 69,3 Pt 1 (2009): 601-2; author reply 602. doi:10.1016/j.gie.2008.06.058
- de Moura, Diogo T H et al. “Endoscopic Vacuum Therapy for Duodenal Hemorrhage in Critically Ill Patients With COVID-19.” The American journal of gastroenterology vol. 117,4 (2022): 688. doi:10.14309/ajg.0000000000001643
- Mega, Paulo Ferreira et al. “Endoscopic vacuum therapy for the management of nonvariceal upper gastrointestinal bleeding: a valuable resource for the endoscopist’s toolbox.” Endoscopy vol. 57,8 (2025): 883-889. doi:10.1055/a-2544-6448
- Dall’Agnol, Marcelo Klotz et al. “Successful Endoscopic Vacuum Therapy in Diffuse Gastric Hemorrhage Secondary to Acute Ischemia: A Case Report”. iGIE, 2025, ISSN 2949-7086, https://doi.org/10.1016/j.igie.2025.10.001.
Cómo citar este artículo
Proença IM, Penaloza CSQ. Terapia Endoscópica de Vacío (TEV) para el Tratamiento de la Hemorragia Digestiva Alta No Varicosa. Endoscopia Terapéutica 2025, Vol II. Disponible en: https://endoscopiaterapeutica.net/es/temas-generales/terapia-endoscopica-de-vacio-tev-para-el-tratamiento-de-la-hemorragia-digestiva-alta-no-varicosa/
