Paciente de 48 anos, hígida e sem comorbidades, foi diagnosticada com lesão sólida pancreática em investigação de dispepsia dor abdominal em cólicas em hipocôndrio direito após refeições, com realização de exames prévios de ultrassom de abdome total e tomografia de abdome. Foi então encaminhada para realização de ecoendoscopia para avaliação e biópsia da lesão. Com os seguintes achados:
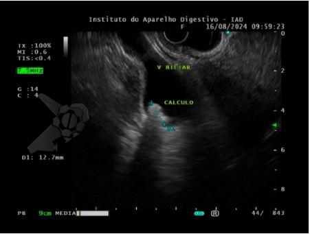
- Vesícula biliar normodistendida, com paredes finas, exibindo imagem hiperecóica e móvel, formadora de sombra acústica posterior, medindo cerca de 12 mm no maior eixo, compatível com cálculo (Foto 1);
- Imagem com ecotextura hipoecóica, homogênea, arredondada, de aproximadamente 11,6 x 10,2 mm, com contornos regulares, limites precisos, sem comunicação com ducto pancreático principal ou acometimento dos vasos perilesionais, localizada em colo pancreático (Fotos 2 e 3).



Foram realizadas punções ecoguiadas para obtenção de material para análise anatomopatológica (Foto 4).

O resultado do anatomopatológico evidenciou os seguintes achados:
- Anatomopatológico: Avaliação histológica revela tumor neuroendócrino bem diferenciado. Amostra apresenta placas sólidas compostas por células atípicas relativamente homogêneas, em densidade celular elevada e estroma escasso. Células atípicas apresentam citoplasma eosinofílico e núcleo arredondado, com cromatina finamente granular. Necrose tumoral não identificada. Figuras mitóticas indistintas.
- Imuno-histoquímica (marcadores na figura 5): Quadro morfológico e perfil de imuno-expressão compatíveis com TUMOR NEUROENDÓCRINO BEM DIFERENCIADO GRAU 1 (NET G1).

Graduação em Medicina pela UFG
Residência em Cirurgia Geral pelo HC-FMUSP Residência em Endoscopia Digestiva pelo HC-FMUSP
Especialização em Endoscopia Oncológica pelo ICESP HC-FMUSP
Mestrado em Ciências em Gastroenterologia pela FMUSP
Membro Titular da SOBED

