Os pólipos gástricos são achados comuns, estando presente em 0,5% a 23% das endoscopias digestivas altas (1). A incidência de cada tipo histológico é variável de acordo com a população estuda, sendo os pólipos de glândulas fúndicas e os hiperplásicos os mais comuns. Um estudo feito no Brasil (2) mostrou que os pólipos hiperplásicos são os mais prevalentes, correspondendo a 71,3% dos pólipos, enquanto nos Estados Unidos (3) os de glândulas fúndicas são os mais comuns, representando 77%.
Os pólipos hiperplásicos são mais frequentes na sexta ou sétima décadas de vida, com uma questionável predominância no sexo feminino (4). Sua etiologia está geralmente associada a uma regeneração exacerbada da mucosa secundária a agressão contínua. Dessa forma, existe uma forte associação entre o pólipo hiperplásico e a presença de infeção pelo H. pylori, gastrite crônica, gastrite autoimune, metaplasia intestinal, gastropatia química, cirrose hepática e pós-terapia hemostática de angiectasias gástricas (4,5). Na maioria dos casos são assintomáticos no entanto, podem causar anemia, hemorragia digestiva ou até dificuldade do esvaziamento gástrico.
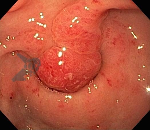
Tipicamente eles são solitários, menores que 20 mm e localizados no antro (60%) (4), vide figuras 1 a 3. Múltiplos pólipos podem estar presentes em até 20% dos casos (4). Geralmente são sésseis, com superfície lisa ou discretamente lobulada, friáveis e hiperemiados. No entanto podem crescer e atingir tamanhos maiores que 100 mm, associado a erosões ou úlceras superficiais em sua superfície.



Risco de malignização
A presença de displasia ou malignidade pode ocorrer em 1,9% a 10,4% dos pólipos hiperplásicos (6). No entanto essa prevalência pode variar de acordo com a população. Em pacientes asiáticos a displasia pode ocorrer em 1,4% a 16,4% dos casos e malignidade em 1,1% a 4,4%. Já em pacientes ocidentais a displasia pode acontecer em 3,3% a 9,7% dos casos e a malignidade em 0,6% a 2,1% (7).
O principal fator de risco para a presença de displasia ou malignidade é o tamanho do pólipo, especialmente aqueles maiores que 25 mm (5,8). Outros fatores que podem estar associados são: idade maior que 65 anos, presença de metaplasia intestinal e displasia na mucosa adjacente (5,8).
Conduta
A Sociedade Americana de Endoscopia Gastrointestinal (ASGE) recomenda a ressecção de todos os pólipos hiperplásicos maiores que 5 mm (9), enquanto o guideline britânico recomenda a retirada daqueles maiores que 10 mm (10). Outras indicações seriam a presença de displasia à biópsia ou pólipos sintomáticos (11).
A pesquisa de H. pylori é fundamental nesses casos, uma vez que existe uma associação entre a presença do pólipo hiperplásico e a infecção pelo H. pylori, que pode chegar a até 37% (4,8). Além disso, a erradicação da bactéria pode promover a regressão do pólipo em até 84% dos casos, especialmente dos pólipos menores, e parece reduzir as taxas de recidiva pós-ressecção (12).
Um exame cuidadoso do restante do estômago também é muito importante, pois esses pacientes apresentam outras alterações que predispõe ao câncer gástrico, como atrofia gástrica e metaplasia intestinal. A taxa de lesões malignas sincrônicas pode chegar a 7,1% (11).
O seguimento endoscópico ainda não está bem estabelecido. Recomenda-se repetir a endoscopia digestiva alta em 12 meses, especialmente naqueles pacientes que apresentaram displasia (11).
Recidiva
Os pólipos hiperplásicos apresentam altas taxas recidiva, mesmo quando ressecados em monobloco (R0), podendo variar de 12% a 51% (6,8). O tempo médio para o diagnóstico da recorrência é entre 1 e 2 anos e não necessariamente estão associados a riscos maiores de displasia ou malignidade (5,12).
O mecanismo pelo qual ela acontece ainda não está bem estabelecido. Aparentemente a técnica de ressecção, seja mucosectomia ou dissecção endoscópica de submucosa não tem relação a recidiva. A infecção pelo H. pylori, conforme descrito anteriormente, parece ter uma associação tanto com o surgimento do pólipo quanto com a sua recidiva após a ressecção (12). Portanto seu tratamento deve ser sempre tentado. A localização no antro também se relaciona a uma maior recorrência, acredita-se que pela maior contratilidade local e um provável refluxo biliar (6). Outros fatores que podem estar associados são: pólipos grandes (maiores que 16 mm), múltiplos, superfície lobulada, idade menor que 65 anos e presença de cirrose (5,6).
Conclusão
Os pólipos hiperplásicos são achados relativamente comuns em endoscopias digestivas altas do dia a dia. Geralmente são pequenos e assintomáticos. No entanto, devido ao risco de displasia e malignidade, mesmo que pequeno, eles devem ser ressecados, principalmente quando maiores que 10 mm. Deve-se dar atenção especial para a pesquisa de H. pylori e de outras entidades que podem estar associadas como gastrite, atrofia e metaplasia. Apesar de altas taxas de recidiva, ainda não está bem estabelecido nenhum protocolo de seguimento.
Referencias
- Yacoub H, Bibani N, Sabbah M, et al. Gastric polyps: a 10-year analys of 18,496 upper endoscopies. BMC Gastroentereol. 2022;22:70.
- Morais DJ, Yamanaka A, Zeitume JM et al. Gastric polyps: a retrospective analys of 26,000 digestives endoscopies. Arq Gastroenterol. 2007;44:14-7.
- Carmack SW, Genta RM, Schuler CM et al. Am J Gastroenterol. 2009;104:1524-1532.
- Kovari B, Kim BH, Lauwers GY. The pathology of gastric and duodenal polyps: current concepts. Histopathology. 2021;78:106-124.
- Forté E, Petit B, Walter T, et al. Risk of neoplastic change in large gastric hyperplastic polyps and recurrence after endoscopic resection. Endoscopy. 2020;52:444-453.
- Kim Y, Kang S, Ahn J, et al. Risk factors associated with recurrence of gastric hyperplastic polyps: a single-center, long-term, retrospective cohort study. Surgical Endoscopy. 2023;37:7563-7572.
- Bar N, Kinaani F, Sperber AD, et al. Low Risk of Neoplasia and Intraprocedural Adverse Events in Gastric Hyperplastic Polypectomy. J Clin Gastroenterol. 2021;55:851-855.
- João M, Areia M, Alves S, et al. Gastric Hyperplastic Polyps: A Benign Entity? Analys of Recurrence and Neoplastic Transformation in a Cohort Study. GE Port J Gastroenterol. 2021;28:328-335.
- Evans JA, Chandrasekhara V, Chathadi KV et al. The role of endoscopy in the management of premalignant and malignant conditions of the stomach. Gastrointest Endosc. 2015;82:1-8.
- Banks M, Graham D, Jansen M et al. British Society of Gastroenterology guidelines on the diagnosis and management of patients at risk of gastric adenocarcinoma. Gut. 2019;68:1545-1575.
- Cheesman AR, Greenwald DA, Shah SC. Current Management of Benign Epithelial Gastric Polyps. Curr Treat Options Gastro. 2017;15:676-690.
- Cho YS, Nam SY, Moon HS et al. Helicobacter pylori eradication reduces risk for recurrence of gastric hyperplastic polyp after endoscopic resection. Korean J Intern Med. 2023;38:167-175.
Como citar este artigo
Retes FA. . Pólipos Hiperplásicos na Endoscopia – Risco de Neoplasia, Conduta e Recidiva. Endoscopia Terapeutica 2024 vol II. disponível em: https://endoscopiaterapeutica.net/pt/uncategorized/polipos-hiperplasicos-risco-de-neoplasia-conduta-e-recidiva/
Membro Titular da SOBED; Especialização em Endoscopia Gastrointestinal HC-FMUSP; Mestre pelo Departamento de Gastroenterologia – FMUSP; Médico Endoscopista do Instituto Alfa de Gastroenterologia HC-UFMG;

3 Comentários
Excelente revisão. Um duvida sobre conduta. Caso não seja possível a ressecção no dia do exame, fazer ou não fazer a biópsia?
Excelente pergunta Filipe. Muitas vezes esses pólipos podem ser grandes, como o da foto, e não devem ser ressecados durante um exame diagnóstico. Nesses casos, não há problema em se fazer uma ou duas biópsias, elas não irão causar uma fibrose relevante que irá dificultar o procedimento. Acredito, inclusive, que as biópsias são recomendáveis para se confirmar o diagnóstico histológico.
Excelente revisão Felipe. Não sei qual a sua experiência, mas tenho visto alto índice de recorrência após a ressecção desses pólipos (inclusive após ESD). Nunca li nada a respeito, mas Prof. Paulo Sakai sempre bateu na tecla de que o estímulo por corrente elétrica poderia ser um fator que induz a recidiva dessas lesões. Temos uma boa experiência com ligadura na base desses pólipos utilizando endoloop. Abs