Caso clínico
- Paciente de sexo femenino, 22 años, diagnosticada con neoplasia pseudopapilar de cola de páncreas (Tumor de Frantz)
- Sometida a pancreatectomía cuerpo-caudal + esplenectomía + linfadenectomía videolaparoscópica. Drenaje de la logia esplénica y del muñón pancreático con Blake 19.
- Recibió alta en el 4º PO.
- 15 días después regresa con dolor abdominal, fiebre y leucocitosis.
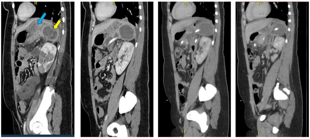
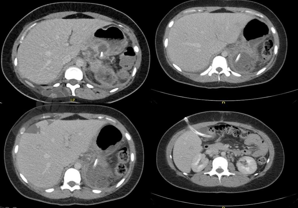
- TC de abdomen revela colección retrogástrica en contacto con el margen de resección del páncreas (Figuras 1 y 2).


Conduta
Tras una reunión multidisciplinaria se indicó la drenaje endoscópico a través de la colocación de prótesis de aposición luminal guiada por ecoendoscopia. Para el procedimiento se utilizó prótesis Hot Axios (Boston Scientific).
Evolución postoperatoria
- Se permitió dieta líquida en el 1º. PO;
- Mantenimiento de antibioticoterapia;
- Revisión endoscópica precoz en el 3º. PO para limpieza y retirada de restos necróticos;
- Retirada del dren abdominal;
- Alta hospitalaria;
- Retorno con 21 días después de drenaje. Retirada de la axios.
Comentarios
La drenaje de colecciones fluidas peripancreáticas por ecoendoscopia con ayuda de prótesis de aposición luminal es una técnica que revolucionó el tratamiento de estas condiciones, permitiendo un drenaje seguro, eficaz y mucho más ágil. La drenaje de las colecciones sin ayuda de las prótesis calientes LAMS es posible, pero mucho más laboriosa. Necesitaría punción, dilatación del trayecto y colocación de prótesis pigtail.
La principal complicación que vemos en la drenaje con LAMS es el riesgo de sangrado, que generalmente ocurre tardíamente debido a la corrosión del tejido retroperitoneal perigástrico por la extremidad de la prótesis cuando ocurre regresión de la cavidad (3 a 4 semanas en promedio). Algunos autores abogan por la inserción de prótesis tipo doble pigtail en el interior de la LAMS para minimizar este evento adverso. En el caso en cuestión la regresión total de la colección ocurrió en 3 semanas y fue posible retirar la prótesis con seguridad.