Ectasiva Vascular Antral • Endoscopia Terapeutica
Home » Ectasiva Vascular Antral

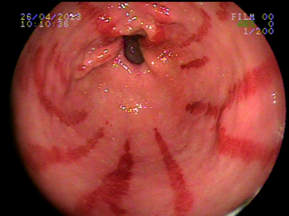
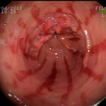
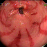
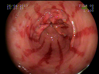
Ectasiva Vascular Antral

por Admin
Compartilhe:


Compartilhe:

Deje su comentario