Definición, relevancia clínica e implicaciones para la ecoendoscopia
Introducción
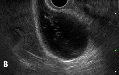
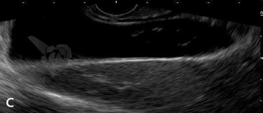
En julio de 2024, publicamos un artículo en este portal sobre la microlitiasis biliar (véase el artículo “Microlitiasis biliar y dispepsia”), en el que analizamos las diferentes, y a menudo contradictorias, definiciones del término “microlitiasis biliar”, tanto en la literatura como en la práctica clínica diaria. En dicho artículo, analizamos en detalle el sólido Consenso Internacional publicado en la revista Gut en 2023 por Żorniak et al.¹, que definía la microlitiasis biliar (o microcálculo) como una imagen hiperecoica con sombra acústica posterior, de hasta 5 mm.
Esta definición entraba en conflicto directo con lo que tradicionalmente habíamos denominado “microlitiasis” en nuestro campo, un concepto ampliamente difundido en Brasil y también descrito en el Manual de Ecoendoscopia de 2023 de la Sociedad Brasileña de Endoscopia Digestiva (SOBED)². En esta definición, que llamaremos “convención brasileña”, el término microlitiasis se utilizó para describir imágenes hiperecoicas sin sombra acústica posterior, frecuentemente observadas —o acentuadas— tras la palpación abdominal.
Ante este escenario, el ecoendoscopista tiene ahora, en la práctica, tres posibles vías de actuación:
1. Mantener el diagnóstico de “microlitiasis” para imágenes hiperecoicas sin sombra acústica posterior, siguiendo la convención brasileña, pero discrepando de un consenso internacional publicado;
2. Clasificar dichos hallazgos como “barro biliar”, intentando forzar la inclusión de esta entidad en las definiciones de consenso;
3. Ignorar o no buscar activamente esta entidad, considerándola de relevancia clínica incierta o incluso irrelevante, una práctica adoptada en algunos centros a nivel mundial.
Con el objetivo de resolver este impasse conceptual entre el consenso internacional y la práctica brasileña, Proença et al.³ publicaron, en 2025, una carta en respuesta al consenso de Żorniak et al., proponiendo un nuevo término para definir esta controvertida entidad ecográfica: “polvo biliar”.
Polvo biliar: definición y relevancia clínica
Definición
El polvo biliar se ha definido como una imagen hiperecoica flotante, sin sombra acústica posterior, observada o acentuada tras la palpación abdominal³. Se trata, por lo tanto, de la misma entidad ecográfica que, en Brasil, tradicionalmente se ha denominado “microlitiasis”, pero que no se ajusta a la definición de consenso internacional de microlitiasis y terminó siendo prácticamente ignorada por el consenso, o, en algunos casos, incluida a la fuerza bajo el término “lodo biliar”.




Relevancia Clínica
Como se comentó en el artículo anterior (“Microlitiasis Biliar y Dispepsia”), la relevancia clínica de esta entidad sigue siendo controvertida en la literatura, debido en gran medida a la ausencia, hasta la fecha, de un descriptor específico y ampliamente aceptado. Independientemente de la nomenclatura utilizada en los diversos estudios (microlitiasis, microcálculos, minilitiasis, cristales biliares o lodo biliar), el consenso de Żorniak et al. demostró que todos los trastornos litogénicos biliares (cálculos, microcálculos, lodo biliar y, retrospectivamente, polvo biliar) se asocian con pancreatitis aguda, sin diferencias en la gravedad de la pancreatitis independientemente de la entidad involucrada¹.
Por lo tanto, se debe investigar activamente el polvo biliar en pacientes con pancreatitis aguda y considerarlo una posible etiología cuando se identifique.
Montenegro et al.⁴ evaluaron retrospectivamente a pacientes sometidos a colecistectomía con diagnóstico ecográfico de «minilitiasis y/o barro biliar», una entidad que, según los conceptos actuales, corresponde a polvo biliar. Se observó mejoría clínica en el 86,2 % (25/29) de los pacientes con cólico biliar típico y en el 66,7 % (8/12) de aquellos con dolor en el cuadrante superior derecho. Ninguno de los pacientes operados por dolor abdominal difuso mostró mejoría clínica (0/4). Síntomas como dolor epigástrico y náuseas fueron poco frecuentes, lo que no permitió extraer conclusiones consistentes (Tabla 1).
Práctica clínica
A pesar de los esfuerzos académicos por estandarizar las definiciones y la terminología, la incorporación de nuevos conceptos a la práctica clínica no siempre es sencilla. Esto puede deberse a la afinidad del ecoendoscopista con conceptos previamente aprendidos, al desconocimiento del término por parte del médico tratante o incluso a la resistencia del cirujano a una nueva nomenclatura.
En este contexto, lo más importante sigue siendo una comunicación clara, capaz de transmitir los hallazgos ecográficos con la mayor precisión posible, permitiendo al médico tratante correlacionarlos adecuadamente con el cuadro clínico e indicar el mejor tratamiento para el paciente.
Para los ecoendoscopistas que optan por adoptar el término polvo biliar, se recomienda que el informe incluya una nota explicativa que facilite la comprensión del hallazgo por parte del médico tratante. Un ejemplo práctico sería:
Conclusión (ejemplo de informe)
Vesícula biliar con hallazgos compatibles con polvo biliar.*
*El polvo biliar fue descrito por Proença et al. (Gut 2025) para diferenciar estos hallazgos de lo que se denominó «microlitiasis», término definido por consenso (Zorniak et al. 2023) para designar imágenes con sombra acústica posterior de hasta 5 mm.
Referencias: 1. Proenca et al. Biliary sludge and microlithiasis: are we covering the full spectrum of lithogenic biliary disorders?. Gut 2025. DOI: 10.1136/gutjnl-2025-336609 2. Zorniak et al. Consensus definition of sludge and microlithiasis as a possible cause of pancreatitis. Gut 2023. DOI: 10.1136/gutjnl-2022-327955
Conclusión
El polvo biliar se definió como una imagen hiperecoica flotante, sin sombra acústica posterior, observada o acentuada tras la palpación abdominal — una entidad ecográfica anteriormente denominada “microlitiasis” o “microcálculo” en nuestro medio. La introducción de este término busca conciliar los hallazgos ecográficos frecuentemente observados en la práctica diaria con las definiciones establecidas por el Consenso Internacional de 2023.
El polvo biliar se asocia con pancreatitis aguda y parece estar relacionado con cólica biliar típica. Su asociación con síntomas atípicos, como dolor en el cuadrante superior derecho, dispepsia, náuseas y vómitos, sigue siendo poco estudiada y debe interpretarse con cautela, siempre tras descartar etiologías más probables.
Para la aplicación de este nuevo término en la práctica clínica, se recomienda elaborar informes descriptivos, acompañados de una explicación en una nota, para facilitar la correcta interpretación de los hallazgos ecográficos por parte del médico tratante.
Referencias
- Żorniak, M., Sirtl, S., Beyer, G., Mahajan, U. M., Bretthauer, K., Schirra, J., Schulz, C., Kohlmann, T., Lerch, M. M., Mayerle, J., & LMU Microlithiasis Expert Survey Team (2023). Consensus definition of sludge and microlithiasis as a possible cause of pancreatitis. Gut, 72(10), 1919–1926. https://doi.org/10.1136/gutjnl-2022-327955
- De Araújo W.C., Nahoum R.G., Como eu faço: pesquisa de pancreatite idiopática. In: Salomão B.C., Moura E.G.H.M. Ecoendoscopia como eu faço? / núcleo de ecoendoscopia SOBED – São Paulo : Editora dos Editores, 2023. Cap. 5 p.87-96
- Proenca et al. Biliary sludge and microlithiasis: are we covering the full spectrum of lithogenic biliary disorders?. Gut 2025. DOI: 10.1136/gutjnl-2025-336609
- Montenegro, A., Andújar, X., Fernández-Bañares, F., Esteve, M., & Loras, C. (2022). Usefulness of endoscopic ultrasound in patients with minilithiasis and/or biliary sludge as a cause of symptoms of probable biliary origin after cholecystectomy. Gastroenterologia y hepatologia, 45(2), 91–98. https://doi.org/10.1016/j.gastrohep.2021.03.010
Cómo citar este artículo
Proença IM, Penaloza CSQ. Polvo biliar: un nuevo término para una antigua entidad y una vieja controversia Endoscopia Terapéutica 2026, Vol I. Disponible en: https://endoscopiaterapeutica.net/es/articulos-comentados/polvo-biliar-un-nuevo-termino-para-una-antigua-entidad-y-una-vieja-controversia/
