Publicado en Endoscopic Ultrasound, enero de 2025
Referencia: Ibrahim RM, Solanki S, Qiao W, Hwang H, Singh BS, Cazacu IM, Saftoiu A, Katz MHG, Kim MP, McAllister F, Bhutani MS. Páncreas graso en la ecoendoscopia: factores de riesgo, correlación con TC/RM e implicaciones para el cribado del cáncer de páncreas. Endosc Ultrasound. 2025 enero-febrero;14(1):13-19. doi: 10.1097/eus.0000000000000109. Epub 2025 marzo 3. PMID: 40151596; PMCID: PMC11939939.
Introducción
La esteatosis pancreática, o páncreas graso, es una enfermedad subestimada, pero que está adquiriendo mayor relevancia a medida que nuevos estudios demuestran su importancia. Su incidencia oscila entre el 12,9% y el 27,8%, y se correlaciona con la obesidad, la hipertensión, la dislipidemia y la diabetes (1, 2).
Su fisiopatología se debe a dos mecanismos distintos:
(I) la liposustitución, que implica la muerte de células pancreáticas, reemplazadas por adipocitos tras diversas afecciones como factores genéticos, fibrosis, consumo de alcohol, infecciones virales, sobrecarga de hierro, medicamentos (p. ej., corticosteroides) y obstrucción ductal crónica;
(II) la infiltración grasa, cuyo nombre es autoexplicativo y se asocia con la obesidad y el síndrome metabólico (enfermedad pancreática grasa no alcohólica – nonalcoholic fatty pancreas disease – NAFPD).
Si bien se trata de una afección benigna, presenta implicaciones clínicas muy relevantes, y muchos especialistas en ecoendoscopia (Endoscopic Ultrasound – EUS) desconocen los hallazgos y su relevancia. El objetivo de este estudio es revisar el diagnóstico, los factores de riesgo/datos demográficos y las correlaciones clínicas, así como comparar la EUS con otras pruebas de imagen como la tomografía computarizada (TC) y la resonancia magnética (RM).
Métodos
Se trata de un estudio retrospectivo del Centro Oncológico MD Anderson (Universidad de Texas). Se incluyeron pacientes con (I) diagnóstico de esteatosis pancreática mediante EUS y (II) TC o RM previas (entre 3 y 12 meses antes de la EUS).
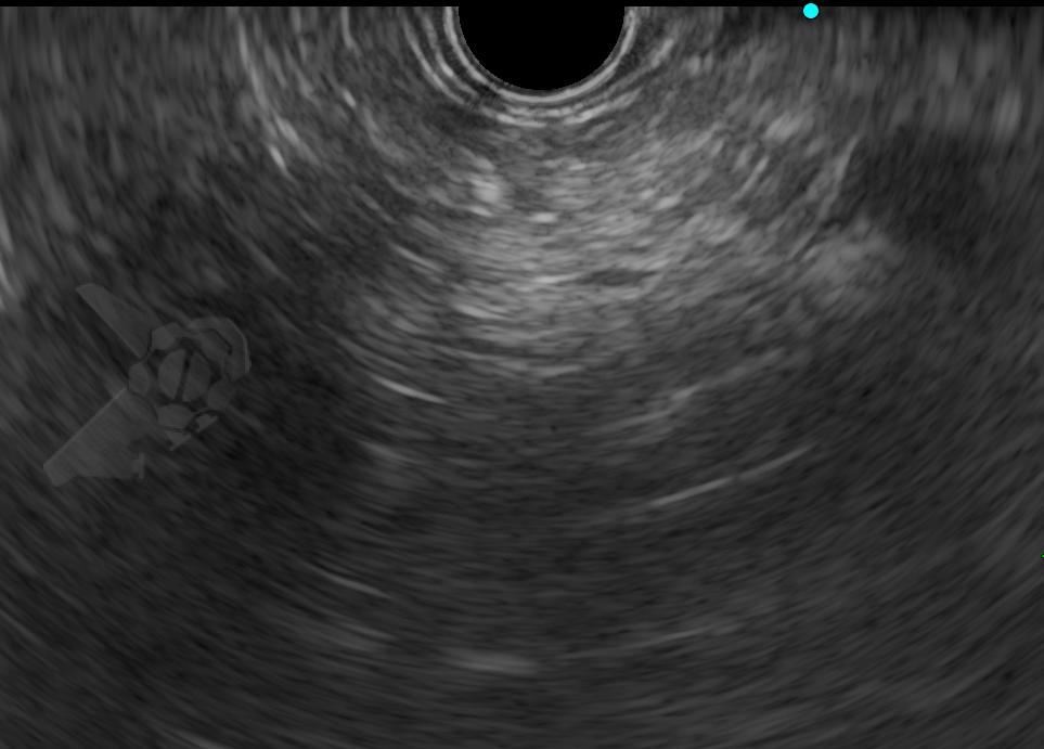
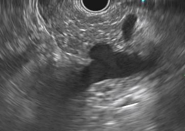
El diagnóstico mediante EUS se basó en la presencia de imágenes pancreáticas hiperecoicas difusas o discontinuas, con bordes poco definidos y dificultad para caracterizar el conducto pancreático principal, en lugar del aspecto habitual bien definido de «sal y pimienta» (véanse las imágenes ilustrativas en el artículo).
Imágenes ilustrativas:



Resultados
Se incluyeron 91 pacientes (todos con esteatosis pancreática diagnosticada mediante EUS), de los cuales el 66 % presentaba obesidad (IMC > 30), el 64 % hipertensión y el 33 % diabetes mellitus. De estos pacientes, 70 se sometieron a pruebas de imagen (TC o RM) en los 3 meses previos, y solo 15 (21,4 %) recibieron un diagnóstico de esteatosis. Todos los pacientes se sometieron a pruebas de imagen en los 12 meses posteriores a la EUS, y 16 (17,6 %) recibieron un diagnóstico de esteatosis.
No se observaron diferencias entre los datos de los pacientes diagnosticados con páncreas graso mediante pruebas de imagen (RM o TC) y EUS, y aquellos diagnosticados únicamente mediante EUS. Esto sugiere que muchos casos podrían no haber sido notificados debido a la falta de atención o conocimiento sobre la esteatosis pancreática. Otra hipótesis para esta discrepancia es la mayor sensibilidad de la EUS.
Discusión
En los últimos años, la esteatosis hepática ha cobrado gran relevancia, gracias a una mejor comprensión de su relación con la cirrosis y el cáncer de hígado. De igual manera, se han publicado más trabajos sobre la esteatosis pancreática.
Este y muchos otros estudios señalan la correlación entre la obesidad, la hipertensión, la diabetes mellitus y la dislipidemia con la esteatosis pancreática. Si bien las comorbilidades mencionadas pueden causar infiltración grasa en el páncreas, estudios prospectivos han demostrado que también pueden ser consecuencia de esta enfermedad (3, 4).
Se ha demostrado que el páncreas graso está relacionado con la pancreatitis aguda (37,7% frente a 4,7%) y crónica (5). Estudios recientes señalan la esteatosis como un factor de riesgo para la pancreatitis pos-CPRE (14 % frente a 6,2 %, p = 0,017), lo que indica la necesidad de medidas preventivas para esta complicación en los pacientes afectados (6, 7). Esta enfermedad también se considera un factor de riesgo para la fístula pancreática posoperatoria (8, 9). Diversos estudios asocian esta entidad y la obesidad con el cáncer de páncreas y lesiones preneoplásicas (10-16).
La biopsia pancreática es la prueba de referencia para el diagnóstico; sin embargo, debido a su carácter invasivo, se recurre con mayor frecuencia a métodos de imagen. La TC y la ecografía abdominal han demostrado menor sensibilidad para la detección de la esteatosis pancreática. La RM se considera el mejor método no invasivo y algunos estudios muestran una prevalencia similar a la de la EUS. Por otro lado, se sabe que la EUS tiene mayor precisión para el diagnóstico de lesiones pequeñas y, por ejemplo, de pancreatitis crónica, por lo que podría tener mayor sensibilidad para el páncreas graso. Los datos del presente estudio, que muestran que solo el 21,4 % (3 meses) y el 17,6 % (12 meses) de las TC y RM presentaron un diagnóstico confirmado de páncreas graso en la EUS, también podrían indicar una mayor precisión de esta última. No obstante, según la literatura actual, ambos son métodos válidos y eficaces para la detección de esta patología.
Estudios adicionales nos ayudarán a comprender mejor estas correlaciones y a proporcionar herramientas más objetivas para el diagnóstico y el tratamiento de estos pacientes. Sin embargo, considerando la literatura disponible, es fundamental que el endoscopista y demás médicos que participan en la atención de estos pacientes estén familiarizados con el tema para diagnosticar el páncreas graso y abordar, de forma preventiva, sus posibles consecuencias negativas para la salud, como la diabetes mellitus, la hipertensión arterial y el cáncer de páncreas.
Referencias
- Sepe PS, Ohri A, Sanaka S, Berzin TM, Sekhon S, Bennett G, Mehta G, Chuttani R, Kane R, Pleskow D, Sawhney MS. A prospective evaluation of fatty pancreas by using EUS. Gastrointest Endosc. 2011 May;73(5):987-93. doi: 10.1016/j.gie.2011.01.015. PMID: 21521567.
- Silva LLSE, Fernandes MSS, Lima EA, Stefano JT, Oliveira CP, Jukemura J. Fatty Pancreas: Disease or Finding? Clinics (Sao Paulo). 2021 Feb 22;76:e2439. doi: 10.6061/clinics/2021/e2439. PMID: 33624707; PMCID: PMC7885852.
- Chan TT, Tse YK, Lui RN, Wong GL, Chim AM, Kong AP, Woo J, Yeung DK, Abrigo JM, Chu WC, Wong VW, Tang RS. Fatty Pancreas Is Independently Associated With Subsequent Diabetes Mellitus Development: A 10-Year Prospective Cohort Study. Clin Gastroenterol Hepatol. 2022 Sep;20(9):2014-2022.e4. doi: 10.1016/j.cgh.2021.09.027. Epub 2021 Sep 25. PMID: 34571257.
- Dong X Zhu Q Yuan C, et al. Associations of intrapancreatic fat deposition with incident diseases of the exocrine and endocrine pancreas: a UK biobank prospective cohort study. Am J Gastroenterol 2024;119(6):1158–1166. doi: 10.14309/ajg.0000000000002792 Epub ahead of print. PMID: 38587286.
- Sbeit W, Khoury T. Fatty pancreas represents a risk factor for acute pancreatitis: a pilot study. Pancreas 2021;50(7):990–993. doi: 10.1097/MPA.0000000000001867 PMID: 34629451.
- Chung MJ, Park SW, Lee KJ, Park DH, Koh DH, Lee J, Lee HS, Park JY, Bang S, Min S, Park JH, Kim SJ, Park CH. Clinical impact of pancreatic steatosis measured by CT on the risk of post-ERCP pancreatitis: a multicenter prospective trial. Gastrointest Endosc. 2024 Feb;99(2):214-223.e4. doi: 10.1016/j.gie.2023.08.005. Epub 2023 Aug 18. PMID: 37598866.
- Weston BR. Pancreatic steatosis: Identification of yet another “new” modifiable high-risk factor for post-ERCP pancreatitis? Gastrointest Endosc. 2024 Feb;99(2):224-226. doi: 10.1016/j.gie.2023.10.001. PMID: 38237965.
- Mathur A Pitt HA Marine M, et al. Fatty pancreas: a factor in postoperative pancreatic fistula. Ann Surg 2007;246(6):1058–1064. doi: 10.1097/SLA.0b013e31814a6906 PMID: 18043111.
- Zhou L, Xiao WM, Li CP, Gao YW, Gong WJ, Lu GT. Impact of fatty pancreas on postoperative pancreatic fistulae: a meta-analysis. Front Oncol 2021;11:622282. doi: 10.3389/fonc.2021.622282 PMID: 34926236; PMCID: PMC8671996.
- Stolzenberg-Solomon RZ Adams K Leitzmann M, et al. Adiposity, physical activity, and pancreatic cancer in the National Institutes of Health–AARP Diet and Health Cohort. Am J Epidemiol 2008;167(5):586–597. doi: 10.1093/aje/kwm361 Epub 2008 Feb 12. PMID: 18270373.
- Arslan AA Helzlsouer KJ Kooperberg C, et al. , Pancreatic Cancer Cohort Consortium (PanScan) . Anthropometric measures, body mass index, and pancreatic cancer: a pooled analysis from the Pancreatic Cancer Cohort Consortium (PanScan). Arch Intern Med 2010;170(9):791–802. doi: 10.1001/archinternmed.2010.63 PMID: 20458087; PMCID: PMC2920035.
- Aune D Greenwood DC Chan DS, et al. Body mass index, abdominal fatness and pancreatic cancer risk: a systematic review and non-linear dose-response meta-analysis of prospective studies. Ann Oncol 2012;23(4):843–852. doi: 10.1093/annonc/mdr398 Epub 2011 Sep 2. PMID: 21890910.
- Hori M Takahashi M Hiraoka N, et al. Association of pancreatic fatty infiltration with pancreatic ductal adenocarcinoma. Clin Transl Gastroenterol 2014;5(3):e53. doi: 10.1038/ctg.2014.5 PMID: 24622469; PMCID: PMC3972693.
- Rebours V Gaujoux S d’Assignies G, et al. Obesity and fatty pancreatic infiltration are risk factors for pancreatic precancerous lesions (PanIN). Clin Cancer Res 2015;21(15):3522–3528. doi: 10.1158/1078-0432.CCR-14-2385 Epub 2015 Feb 19. PMID: 25700304.
- Khoury T, Sbeit W. Fatty pancreas and pancreatic cancer: an overlooked association? J Clin Med 2022;11(3):763. doi: 10.3390/jcm11030763 PMID: 35160214; PMCID: PMC8836883.
- Lesmana CRA, Gani RA, Lesmana LA. Non-alcoholic fatty pancreas disease as a risk factor for pancreatic cancer based on endoscopic ultrasound examination among pancreatic cancer patients: a single-center experience. JGH Open 2017;2(1):4–7. doi: 10.1002/jgh3.12032 PMID: 30483555; PMCID: PMC6207022.
Cómo citar este artículo
Funari MP, Penaloza CSQ. Páncreas graso en la ecoendoscopia: factores de riesgo, correlación con TC/RM e implicaciones para el cribado del cáncer de páncreas. Endoscopia Terapéutica 2025, Vol II. Disponible en: https://endoscopiaterapeutica.net/es/articulos-comentados/pancreas-graso-en-la-ecoendoscopia-factores-de-riesgo-correlacion-con-tc-rm-e-implicaciones-para-el-cribado-del-cancer-de-pancreas/