Artigo “Fatty pancreas on EUS: Risk factors, correlation with CT/MRI, and implications for pancreatic cancer screening” publicado na Endoscopic Ultrasound em janeiro de 2025, cuja referência principal é: Ibrahim RM, Solanki S, Qiao W, Hwang H, Singh BS, Cazacu IM, Saftoiu A, Katz MHG, Kim MP, McAllister F, Bhutani MS. Fatty pancreas on EUS: Risk factors, correlation with CT/MRI, and implications for pancreatic cancer screening. Endosc Ultrasound. 2025 Jan-Feb;14(1):13-19. doi: 10.1097/eus.0000000000000109. Epub 2025 Mar 3. PMID: 40151596; PMCID: PMC11939939.
Introdução
A esteatose pancreática (pancreatic steatosis), pâncreas gorduroso (fatty pancreas) ou lipomatose pancreática é uma doença pouco valorizada, porém que vem ganhando notoriedade à medida que novos estudos sobre o tema demonstram sua relevância. Apresenta incidência entre 12,9 e 27,8%, e correlação com obesidade, hipertensão, dislipidemia e diabetes (1, 2).
Dois mecanismos distintos correspondem a sua fisiopatologia: (I) a lipossubstituição, que envolve morte de células pancreáticas, substituídas por adipócitos após múltiplas condições como fatores genéticos, fibrose, álcool, infecções virais, sobrecarga de ferro, medicações (exemplo: corticoides) e obstrução ductal crônica; (II) a infiltração gordurosa, cujo nome é autoexplicativo e se associa a obesidade e síndrome metabólica (nonalcoholic fatty pancreas disease – NAFPD).
Apesar de tratar-se de uma condição benigna, ela apresenta implicações clínicas muito relevantes e muitos ecoendoscopistas não estão familiarizados com os achados e com sua relevância. O objeto deste estudo é revisar o diagnóstico, fatores de risco/demografia e correlações clínicas, bem como comparar a ecoendoscopia (endoscopic ultrasound – EUS) com outros exames de imagem como tomografia computadorizada (TC) e ressonância nuclear magnética (RNM).
Métodos
Trata-se de um trabalho retrospectivo do MD Anderson Cancer Center (Universidade do Texas). Pacientes com (I) diagnóstico de esteatose pancreática no EUS e (II) TC ou RNM prévia (entre 3 e 12 meses antes do EUS) foram incluídos.
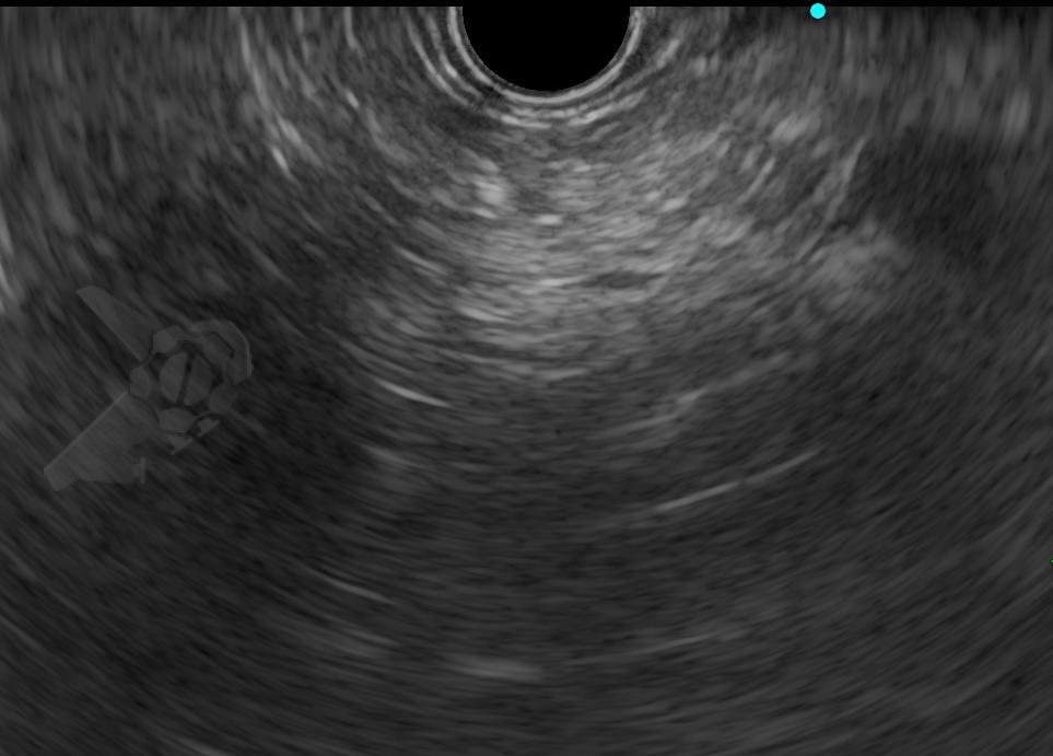
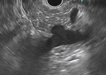
O diagnóstico no EUS se deu pela imagem pancreática hiperecoica difusa ou salteada, com borramento de seus limites e difícil caracterização do ducto pancreático principal ao invés do aspecto em “sal e pimenta” bem delimitado habitual – veja as imagens ilustrativas abaixo:
Imagens ilustrativas:



Resultados
Um total de 91 pacientes foram incluídos (todos com esteatose pancreática no EUS), sendo 66% obesos (IMC > 30), 64% hipertensos e 33% com DM. Destes pacientes, 70 tinham exame de imagem (TC ou RNM) em até 3 meses e apenas 15 (21,4%) com o diagnóstico de esteatose. Todos pacientes tinham exame de imagem em até 12 meses do EUS, sendo 16 (17,6%) com o diagnóstico de esteatose.
Não houve diferença na comparação entre os dados dos pacientes com diagnóstico de pâncreas gorduroso no exame de imagem (RNM ou TC) e EUS vs diagnóstico apenas no EUS, sugerindo que muitos podem não ter sido reportados por falta de atenção e/ou conhecimento da esteatose pancreática. Outra hipótese para tal discrepância é a maior sensibilidade do EUS.
Discussão
Nos últimos anos, a esteatose hepática ganhou muita atenção, pois houve melhor compreensão sobre sua relação com cirrose e câncer hepático. De maneira análoga, mais trabalhos sobre a esteatose pancreática tem sido publicados.
Este e muitos outros estudos apontam a correlação entre obesidade, HAS, DM e dislipidemia com a esteatose pancreática. Apesar das comorbidades citadas poderem causar a infiltração gordurosa no pâncreas, estudos prospectivos mostraram que elas também podem ser consequência desta doença (3, 4).
O pâncreas gorduroso também se mostrou relacionado a pancreatite aguda (37,7% vs 4,7%) e crônica (5). Estudos recentes apontam para a esteatose como fator de risco para pancreatite pós-CPRE (14% x 6,2%, p=0,017), indicando a necessidade de medidas preventivas para esta complicação nos respectivos pacientes (6, 7). Tal doença também é considerada um fator de risco para fístula pancreática pós-operatória (8, 9).
Uma série de trabalhos associa esta entidade e a obesidade ao câncer pancreático e lesões pré-neoplásicas (10-16).
O padrão ouro para o diagnóstico é a biópsia pancreática, porém, por seu caráter invasivo, métodos de imagem são realizados com maior frequência. A TC e ultrassom abdominal demonstraram menor sensibilidade para detectar esteatose pancreática. A RNM é considerada como o melhor método não invasivo e alguns estudos demonstram prevalência semelhante em relação ao EUS. Por outro lado, sabe-se que o EUS apresenta melhor acurácia para o diagnóstico de lesões pequenas e, por exemplo, pancreatite crônica, de modo que poderia apresentar melhor sensibilidade para o pâncreas gorduroso. O dado do presente estudo de apenas 21,4% (3 meses) e 17,6% (12 meses) das TC e RNM apresentarem o diagnóstico estabelecido de pâncreas gorduroso no EUS, também pode apontar para uma melhor acurácia deste último. Entretanto, com base na literatura atual, ambos são métodos bons e válidos na detecção desta patologia.
Novos estudos nos auxiliarão a compreender melhor essas correlações, bem como fornecer ferramentas mais objetivas para o diagnóstico e conduta destes pacientes. Porém, considerando a literatura disponível, é de grande importância ao endoscopista e demais médicos envolvidos no cuidado destes pacientes, conhecer o assunto para fazer o diagnóstico do pâncreas gorduroso, bem como abordar, de modo preventivo, suas potenciais implicações deletérias à saúde, como DM, HAS e câncer de pâncreas.
Referências
- Sepe PS, Ohri A, Sanaka S, Berzin TM, Sekhon S, Bennett G, Mehta G, Chuttani R, Kane R, Pleskow D, Sawhney MS. A prospective evaluation of fatty pancreas by using EUS. Gastrointest Endosc. 2011 May;73(5):987-93. doi: 10.1016/j.gie.2011.01.015. PMID: 21521567.
- Silva LLSE, Fernandes MSS, Lima EA, Stefano JT, Oliveira CP, Jukemura J. Fatty Pancreas: Disease or Finding? Clinics (Sao Paulo). 2021 Feb 22;76:e2439. doi: 10.6061/clinics/2021/e2439. PMID: 33624707; PMCID: PMC7885852.
- Chan TT, Tse YK, Lui RN, Wong GL, Chim AM, Kong AP, Woo J, Yeung DK, Abrigo JM, Chu WC, Wong VW, Tang RS. Fatty Pancreas Is Independently Associated With Subsequent Diabetes Mellitus Development: A 10-Year Prospective Cohort Study. Clin Gastroenterol Hepatol. 2022 Sep;20(9):2014-2022.e4. doi: 10.1016/j.cgh.2021.09.027. Epub 2021 Sep 25. PMID: 34571257.
- Dong X Zhu Q Yuan C, et al. Associations of intrapancreatic fat deposition with incident diseases of the exocrine and endocrine pancreas: a UK biobank prospective cohort study. Am J Gastroenterol 2024;119(6):1158–1166. doi: 10.14309/ajg.0000000000002792 Epub ahead of print. PMID: 38587286.
- Sbeit W, Khoury T. Fatty pancreas represents a risk factor for acute pancreatitis: a pilot study. Pancreas 2021;50(7):990–993. doi: 10.1097/MPA.0000000000001867 PMID: 34629451.
- Chung MJ, Park SW, Lee KJ, Park DH, Koh DH, Lee J, Lee HS, Park JY, Bang S, Min S, Park JH, Kim SJ, Park CH. Clinical impact of pancreatic steatosis measured by CT on the risk of post-ERCP pancreatitis: a multicenter prospective trial. Gastrointest Endosc. 2024 Feb;99(2):214-223.e4. doi: 10.1016/j.gie.2023.08.005. Epub 2023 Aug 18. PMID: 37598866.
- Weston BR. Pancreatic steatosis: Identification of yet another “new” modifiable high-risk factor for post-ERCP pancreatitis? Gastrointest Endosc. 2024 Feb;99(2):224-226. doi: 10.1016/j.gie.2023.10.001. PMID: 38237965.
- Mathur A Pitt HA Marine M, et al. Fatty pancreas: a factor in postoperative pancreatic fistula. Ann Surg 2007;246(6):1058–1064. doi: 10.1097/SLA.0b013e31814a6906 PMID: 18043111.
- Zhou L, Xiao WM, Li CP, Gao YW, Gong WJ, Lu GT. Impact of fatty pancreas on postoperative pancreatic fistulae: a meta-analysis. Front Oncol 2021;11:622282. doi: 10.3389/fonc.2021.622282 PMID: 34926236; PMCID: PMC8671996.
- Stolzenberg-Solomon RZ Adams K Leitzmann M, et al. Adiposity, physical activity, and pancreatic cancer in the National Institutes of Health–AARP Diet and Health Cohort. Am J Epidemiol 2008;167(5):586–597. doi: 10.1093/aje/kwm361 Epub 2008 Feb 12. PMID: 18270373.
- Arslan AA Helzlsouer KJ Kooperberg C, et al. , Pancreatic Cancer Cohort Consortium (PanScan) . Anthropometric measures, body mass index, and pancreatic cancer: a pooled analysis from the Pancreatic Cancer Cohort Consortium (PanScan). Arch Intern Med 2010;170(9):791–802. doi: 10.1001/archinternmed.2010.63 PMID: 20458087; PMCID: PMC2920035.
- Aune D Greenwood DC Chan DS, et al. Body mass index, abdominal fatness and pancreatic cancer risk: a systematic review and non-linear dose-response meta-analysis of prospective studies. Ann Oncol 2012;23(4):843–852. doi: 10.1093/annonc/mdr398 Epub 2011 Sep 2. PMID: 21890910.
- Hori M Takahashi M Hiraoka N, et al. Association of pancreatic fatty infiltration with pancreatic ductal adenocarcinoma. Clin Transl Gastroenterol 2014;5(3):e53. doi: 10.1038/ctg.2014.5 PMID: 24622469; PMCID: PMC3972693.
- Rebours V Gaujoux S d’Assignies G, et al. Obesity and fatty pancreatic infiltration are risk factors for pancreatic precancerous lesions (PanIN). Clin Cancer Res 2015;21(15):3522–3528. doi: 10.1158/1078-0432.CCR-14-2385 Epub 2015 Feb 19. PMID: 25700304.
- Khoury T, Sbeit W. Fatty pancreas and pancreatic cancer: an overlooked association? J Clin Med 2022;11(3):763. doi: 10.3390/jcm11030763 PMID: 35160214; PMCID: PMC8836883.
- Lesmana CRA, Gani RA, Lesmana LA. Non-alcoholic fatty pancreas disease as a risk factor for pancreatic cancer based on endoscopic ultrasound examination among pancreatic cancer patients: a single-center experience. JGH Open 2017;2(1):4–7. doi: 10.1002/jgh3.12032 PMID: 30483555; PMCID: PMC6207022.
Como citar este artigo
Funari MP. Fatty pancreas on EUS: Risk factors, correlation with CT/MRI, and implications for pancreatic cancer screening. Endoscopia Terapeutica 2025 Vol II. Disponível em: https://endoscopiaterapeutica.net/pt/artigoscomentados/fatty-pancreas-on-eus-risk-factors-correlation-with-ct-mri-and-implications-for-pancreatic-cancer-screening/
Médico endoscopista pelo HCFMUSP
Programa de CPRE, ecoendoscopia pelo HC FMUSP
Mestre e doutor pelo HC FMUSP
Médico assistente do HC FMUSP

