Pólipo alongado mucossubmucoso de cólon transverso em paciente submetido a colonoscopia de rastreio: Relato de caso
Resumo
O pólipo alongado mucossubmucoso de cólon (PAMC), derivado do inglês colonic mucosubmucosal elongated polyp, é um dos achados que podem ser identificados durante uma colonoscopia de rastreio. O seu aspecto endoscópico é caracterizado pela presença de um pedículo longo, delgado e uniforme em todo seu comprimento. Seu diagnóstico definitivo é obtido após a ressecção e análise histopatológica onde pode-se identificar uma mucosa normal e uma submucosa proeminente com múltiplos vasos sanguíneos e linfáticos dilatados. O objetivo deste relato de caso é apresentar esse achado incomum que deve ser incluído na lista de diagnósticos diferenciais de conhecimento do médico colonoscopista.
Introdução:
O PAMC representa uma forma rara de lesão que é classificada como não neoplásica e não inflamatória [1]. Esses pólipos são caracterizados por seu pedículo longo, delgado e uniforme ao longo de todo o seu comprimento, conferindo-lhes uma aparência “vermiforme” [2].
Sua patogênese não é totalmente compreendida. Sugere-se que áreas frágeis ao longo do cólon que sofrem tração mecânica nas camadas superficiais (mucosa e submucosa) relacionadas ao peristaltismo podem favorecer o seu desenvolvimento [3].
Quando a magnificação é usada durante a colonoscopia, torna-se possível identificar um padrão de superfície uniforme com arquitetura preservada, assim como um padrão normal e regular de microvasos [4]. Idealmente, a ressecção usando uma técnica de polipectomia deve ser considerada para confirmação histopatológica. Essa análise revela uma mucosa normal sem displasia ou inflamação associada a uma submucosa exuberante com estroma colagenoso frouxo e contendo vasos sanguíneos e linfáticos dilatados [5]. Entretanto, em casos individuais, o acompanhamento pode ser considerado se a ressecção não for viável e houver um alto nível de suspeita para esse pólipo benigno [6].
O objetivo deste relato de caso é apresentar esse achado incomum que deve ser incluído na lista de diagnósticos diferenciais de conhecimento do médico colonoscopista.
Apresentação do caso:
Homem de 50 anos, sem comorbidades prévias, sem história de cirurgia prévia em trato gastrointestinal, sem história familiar relevante em parentes de primeiro grau foi avaliado em consulta com gastroenterologista devido a quadro de dispepsia há 7 meses, sem sinais de alarme. Não apresentava manifestações clínicas relacionadas ao aparelho digestivo inferior e não possuía alterações no exame físico.
Realizados exames laboratoriais gerais que não identificaram anemia, alteração renal, hepática, nutricional, metabólica, eletrolítica. A endoscopia digestiva alta também era normal. Os testes para intolerâncias alimentares, doença celíaca, parasitas intestinais e Helicobacter pylori foram negativos.
O paciente nunca havia sido submetido a uma colonoscopia. Como apresentava idade com indicação para o rastreio do câncer colorretal foi orientado a realizar esse exame. A colonoscopia identificou um pólipo alongado, com cerca de 12 mm, de superfície regular. Foi realizada polipectomia com alça a frio, sem intercorrências (figura 1).

A) pólipo alongado mucossubmucoso do cólon transverso; B) apreensão do pólipo com uma alça; C) ressecção do pólipo com alça a frio; D) aspeto final após a ressecção
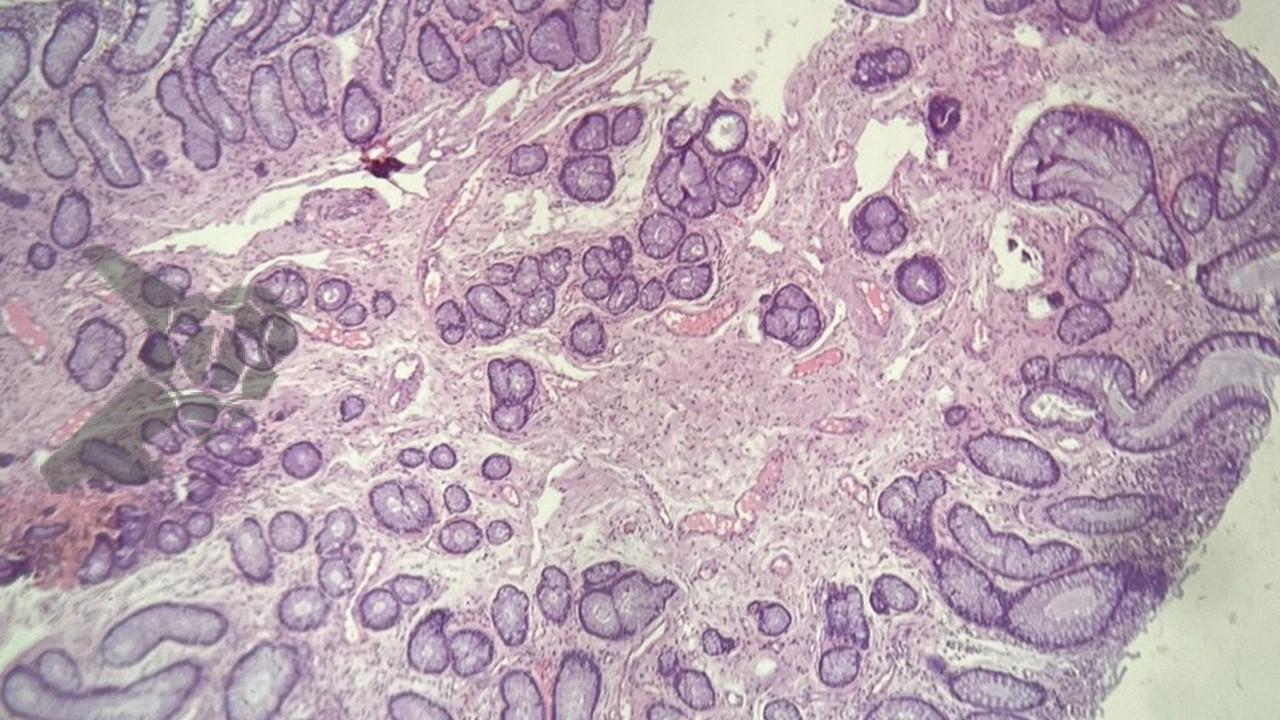
A análise anatomopatológica revelou tratar-se de um pólipo, sem displasia ou componente inflamatório, composto por mucosa normal associada a submucosa exuberante contendo vasos sanguíneos e linfáticos dilatados, correspondendo a um PAMC (figura 2).

Pólipo composto por mucosa de cólon normal e submucosa exuberante com um componente vascular proeminente e sem inflamação ou displasia
Durante consulta de retorno, o paciente foi informado das caraterísticas do pólipo e do seu carácter benigno. Recomendou-se ao paciente que repetisse a colonoscopia dentro de 10 anos conforme a indicação da rotina de seguimento habitual. Por fim, recebeu tratamento para a dispepsia funcional com uma resposta adequada.
Discussão:
Os PAMCs são raramente encontrados em colonoscopias de rastreio ou, incidentalmente, em exames realizados com base em queixas que não estão necessariamente relacionadas com o pólipo, tendo em vista que estes pólipos são, normalmente, assintomáticos. No entanto, pólipos muito gigantes podem causar obstrução intestinal, hemorragia e intussuscepção [7].
Um dos fatores de risco potencialmente relacionados com o seu desenvolvimento é a obstipação. A presença desta manifestação clínica pode favorecer a tração mecânica sobre áreas frágeis da mucosa/submucosa ao longo do cólon. No entanto, no caso apresentado, o paciente apresentava um ritmo intestinal diário e normal, com fezes Bristol 4.
Dentre os seus diagnósticos diferenciais, destacam-se o pólipo inflamatório filiforme, ou um pólipo hamartomatoso com apresentação alongada, ou a presença de um pedículo residual de uma ressecção prévia. Outro diagnóstico diferencial relevante é um divertículo invertido mimetizando o PAMC, cuja ressecção inadvertida poderia causar potenciais complicações. No caso apresentado, foi seguro ressecar o pólipo devido à ausência de divertículos ao longo dos segmentos do cólon, assim como a ausência de pregas circulares na periferia (aurora rings) ou umbilicação central na lesão.
Estes pólipos são geralmente ressecados para se obter a confirmação diagnóstica. Em alguns relatos de casos publicados na literatura científica, foram utilizadas técnicas de proteção da base do pólipo através de um endoloop ou clipe endoscópico [8]. Tal fato é justificado pelo potencial risco de hemorragia, uma vez que o pólipo é constituído por vasos sanguíneos dilatados. Entretanto, no caso apresentado, optou-se por realizar a ressecção com alça a frio e sem proteção da base. Ainda assim, o procedimento foi efetuado sem hemorragia imediata ou tardia. Nos casos em que a ressecção não é possível a ultrassonografia endoscópica pode ser considerada como um método auxiliar de apoio diagnóstico [9].
Por se tratar de um pólipo benigno, sem atipias, não há recomendação específica de seguimento após a ressecção, devendo ser seguida a rotina habitual de vigilância.
Conclusão:
Trata-se de um caso inusitado de PAMC localizado no cólon transverso em um paciente submetido a colonoscopia de rastreio. A suspeição deste tipo de pólipo começa pelo seu aspeto macroscópico, sendo identificado o seu padrão “vermiforme” composto por um pedículo longo, delgado e uniforme. A sua ressecção por polipectomia confirma o diagnóstico. Do ponto de vista histopatológico, é possível identificar uma mucosa normal e uma submucosa exuberante com vasos sanguíneos e linfáticos dilatados. O PAMC é um achado pouco reconhecido pelos colonoscopistas, no entanto, com o aumento das taxas de colonoscopias de rastreio, a sua identificação poderá tornar-se cada vez mais comum.
Referências
- Ali RH, Mohammad NM, Serra S, Chetty R. Colonic mucosubmucosal elongated polyp: report of a series of 14 cases and review of the literature. Histopathology. 2016 Oct;69(4):592-9. doi: 10.1111/his.12969.
- Fan X, Hershman M, Levi G, Weisberg I. Colonic Mucosubmucosal Elongated Polyp in the Sigmoid Colon on Surveillance Colonoscopy. ACG Case Rep J. 2019 Jun 25;6(6):e00110. doi: 10.14309/crj.0000000000000110.
- Kume K, Sakata H, Yoshikawa I, Watanabe T, Harada M. Polypectomy of a colonic muco-submucosal elongated polyp. Endoscopy. 2009;41 Suppl 2:E265-6. doi: 10.1055/s-0029-1215200.
- Ma Y, Zhang K, Cao Y. A case of colonic muco-submucosal elongated polyp (CMSEP) misdiagnosed as a inverted colonic diverticulum (ICD). Rev Esp Enferm Dig. 2024 Jan 11. doi: 10.17235/reed.2024.10153/2023.
- Persyn D, Taelman T, Moubax K, Alaerts H, Van Moerkercke W. Polypectomy of a colonic mucosubmucosal elongated polyp. Gastrointest Endosc. 2019 Oct;90(4):693-694. doi: 10.1016/j.gie.2019.05.025.
- Tan CL, Tan SH, So JB, Petersson F. Muco-submucosal elongated polyps of the gastrointestinal tract: a case series and a review of the literature. World J Gastroenterol. 2013 Mar 21;19(11):1845-9. doi: 10.3748/wjg.v19.i11.1845.
- Kim JH, Lee SY, Jang JH, Han HY, Kang DW. A Case of Giant Colonic Muco-submucosal Elongated Polyps Associated with Intussusception. J Pathol Transl Med. 2016 Nov;50(6):474-478. doi: 10.4132/jptm.2016.04.27. Epub 2016 May 23.
- Horsley-Silva JL, Lam-Himlin DM, Fleischer DE. Mucosubmucosal elongated colonic polyp. VideoGIE. 2017 Jan 23;2(4):85-87. doi: 10.1016/j.vgie.2017.01.014.
- Akahoshi K, Matsumoto M, Kimura M, Murata A, Murao H, Sumida Y, Kubokawa M, Ito K, Oya M. Colonic muco-submucosal elongated polyp: diagnosis with endoscopic ultrasound. Br J Radiol. 2005 May;78(929):419-21. doi: 10.1259/bjr/94407232.
Como citar este artigo
Gomes IL, Chaib DM, Meneses DL, Filho LC, Galvão VA. Pólipo alongado mucosa/submucosa de cólon transverso em paciente submetido a colonoscopia de rastreio Endoscopia Terapeutica 2025 Vol II. Disponível em: https://endoscopiaterapeutica.net/pt/casosclinicos/polipo-alongado-mucosa-submucosa-de-colon-transverso-em-paciente-submetido-a-colonoscopia-de-rastreio/


