Estrongiloidíase duodenal
- Duodeno com edema, enantema, friabilidade e sangramento espontâneo.
- Duodeno com edema, enantema, friabilidade e sangramento espontâneo.
- Duodeno com edema de criptas, friabilidade e sangramento espontâneo, observados ao NBI (narrow band imaging).
- Duodeno com edema de criptas, friabilidade e sangramento espontâneo, observados ao NBI (narrow band imaging).
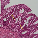
- Presença de larvas de Strongyloides stercoralis em biópsia duodenal (setas).




